Apendicitis aguda
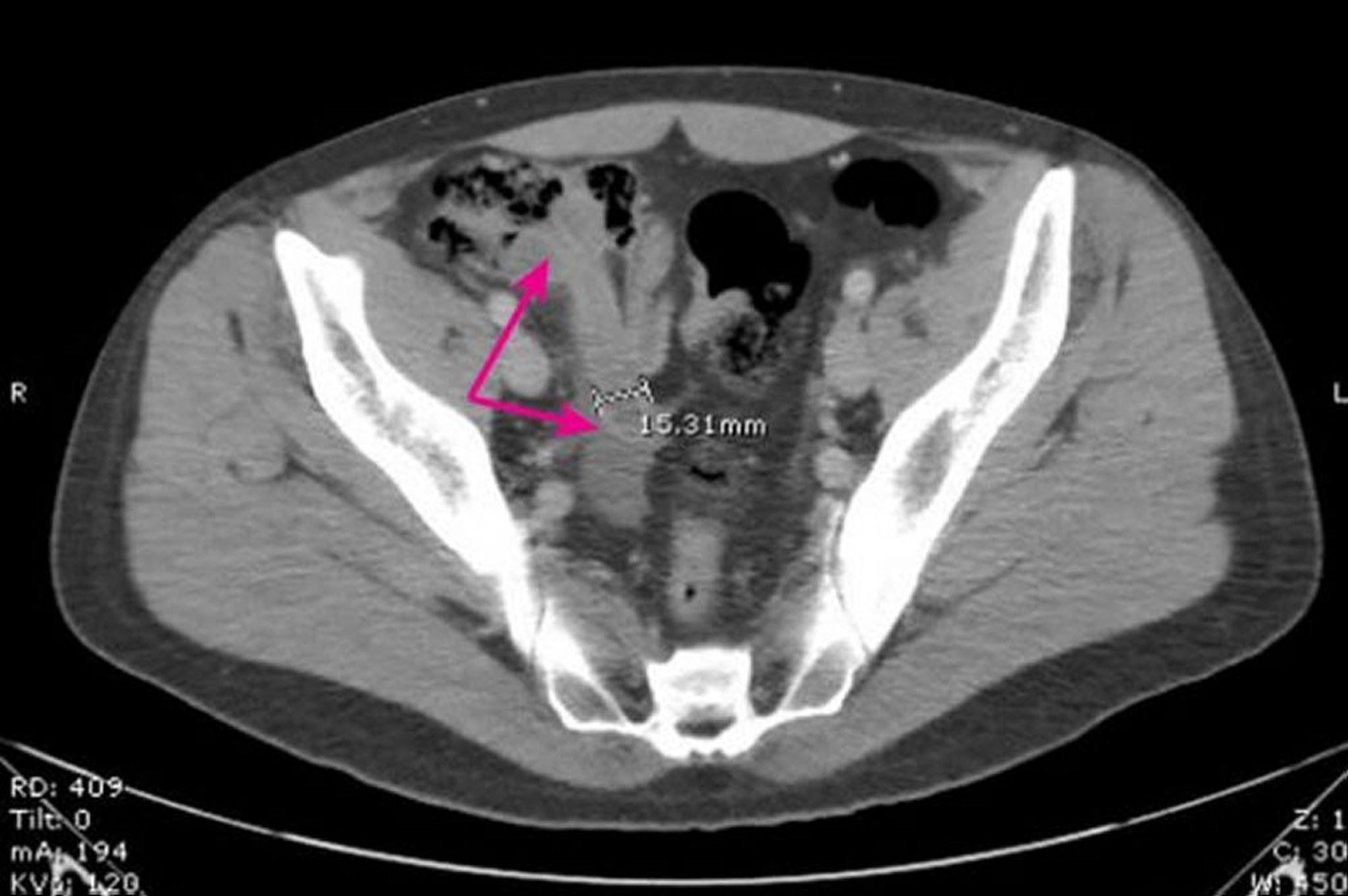
Esta imagen muestra un apéndice dilatado, de paredes gruesas (flechas) que miden 15,31 mm de diámetro y presenta cambios inflamatorios circundantes.
Image provided by Parswa Ansari, MD.
En estos temas
Esta imagen muestra un apéndice dilatado, de paredes gruesas (flechas) que miden 15,31 mm de diámetro y presenta cambios inflamatorios circundantes.
Image provided by Parswa Ansari, MD.