Angiotomografía cardíaca
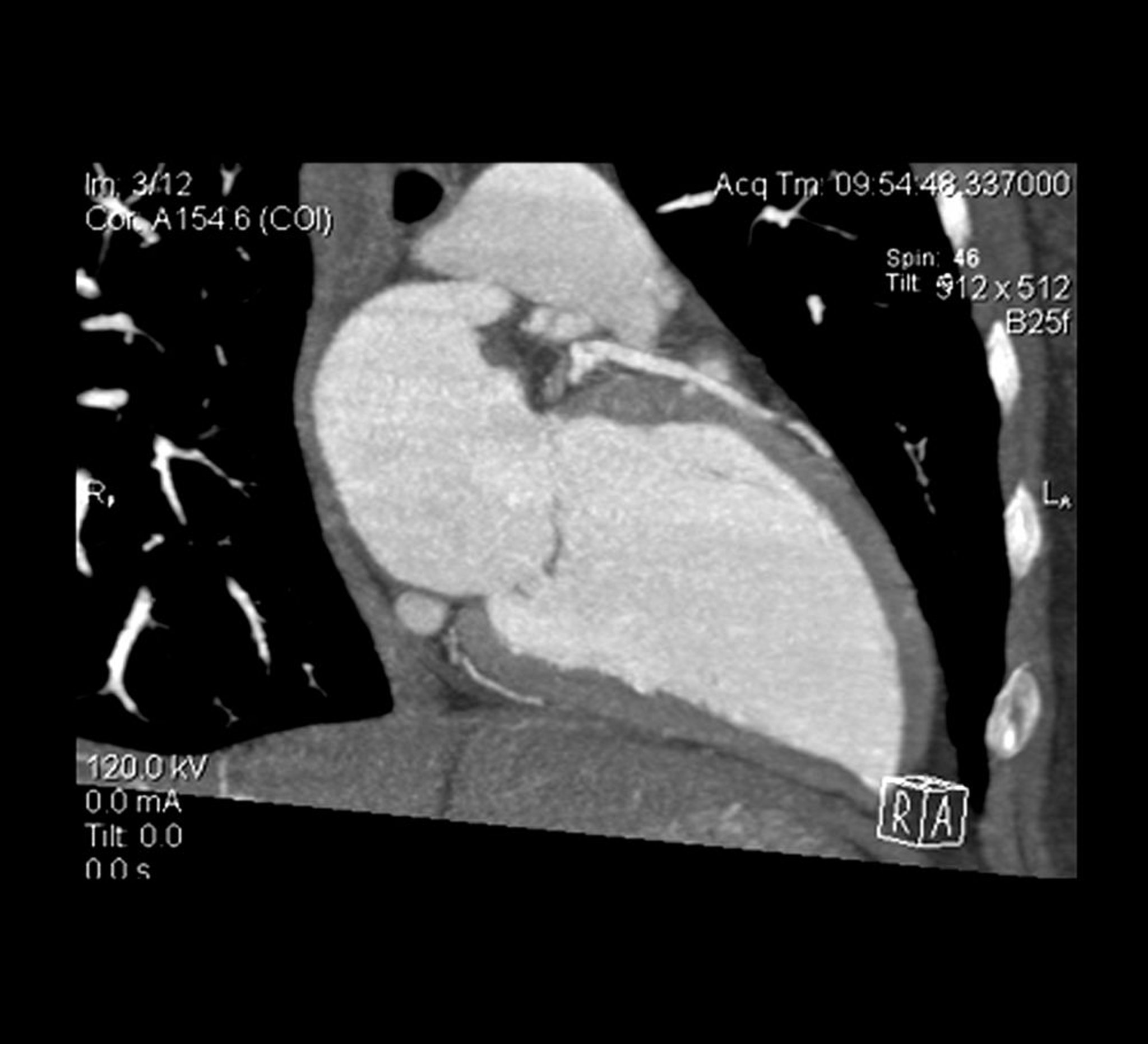
El corte transversal de un angiotomograma cardíaco muestra el ventrículo izquierdo y la arteria descendente anterior izquierda.
LIVING ART ENTERPRISES, LLC/SCIENCE PHOTO LIBRARY
En estos temas
El corte transversal de un angiotomograma cardíaco muestra el ventrículo izquierdo y la arteria descendente anterior izquierda.
LIVING ART ENTERPRISES, LLC/SCIENCE PHOTO LIBRARY