Amigdalitis aguda

Amigdalitis aguda

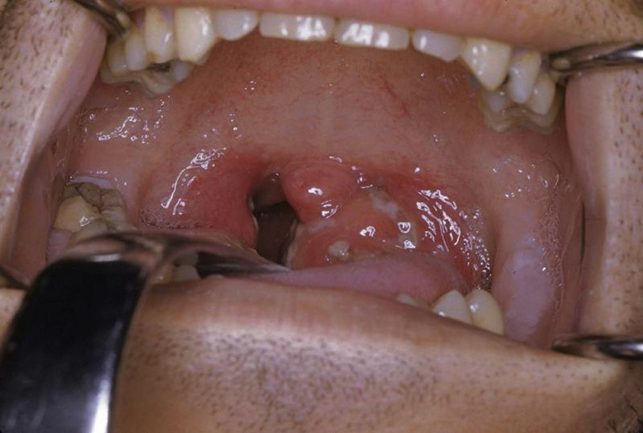
Esta fotografia muestra amigdalitis aguda con exudado y eritema.

Foto cortesía de Clarence T. Sasaki, MD.

En estos temas