Adamantinoma
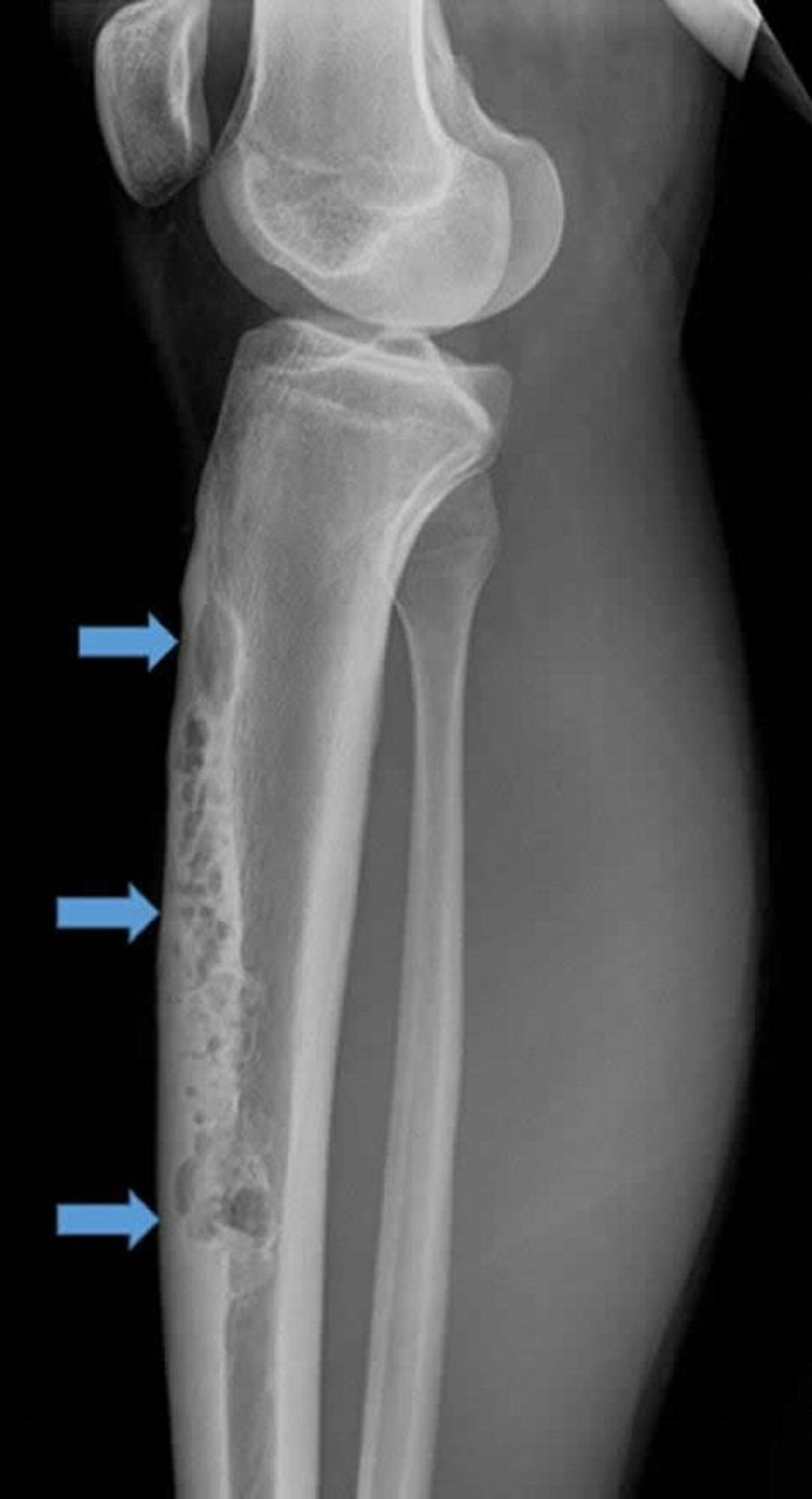
Esta radiografía lateral de la tibia derecha muestra un gran adamantinoma intracortical anterior (flechas). Nótese la apariencia permeativa, osteolítica en "burbuja de jabón".
Image courtesy of Michael J. Joyce, MD, and Hakan Ilaslan, MD.
En estos temas
