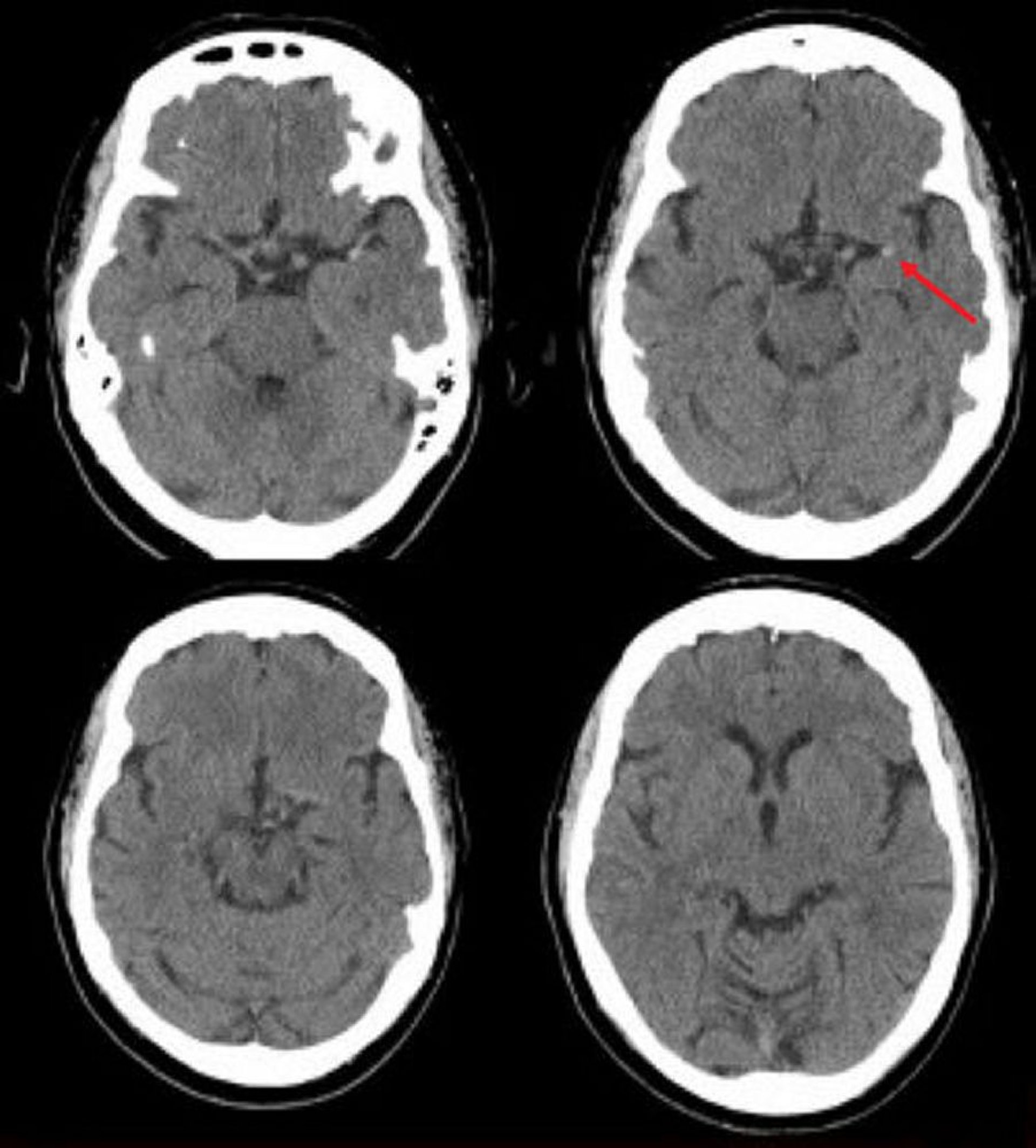
Accidente cerebrovascular isquémico en la arteria cerebral media izquierda (TC)
Esta TC de cráneo sin contraste muestra una arteria cerebral media izquierda hiperdensa. Este hallazgo indica un coágulo focal en la arteria cerebral media izquierda (flecha).
Image courtesy of Ji Y. Chong, MD.
