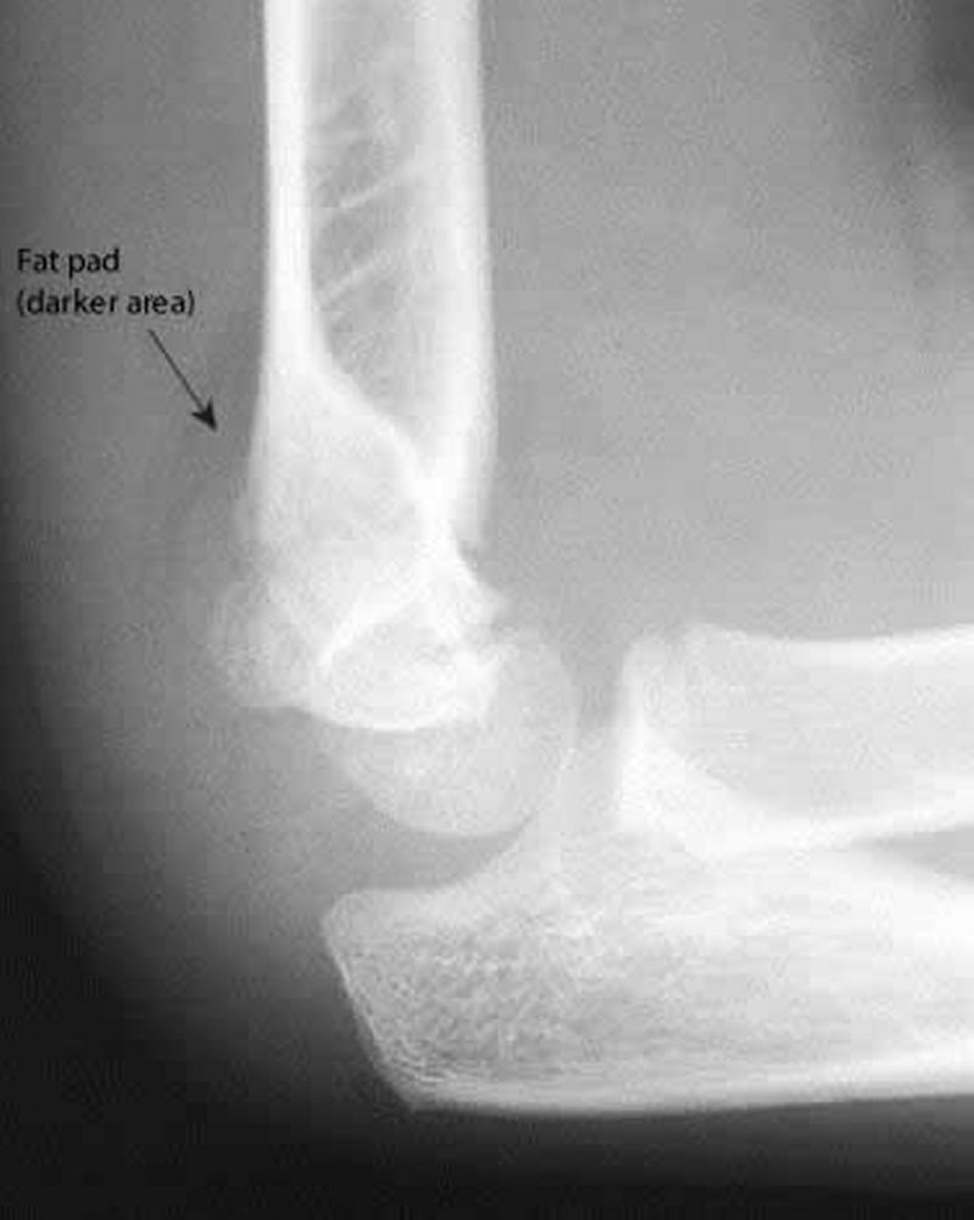
A lmohadilla de grasa posterior
Una almohadilla grasa posterior es siempre anormal. También en esta radiografía, la línea humeral anterior no atraviesa el punto medio del capítulo humeral.
Image courtesy of Danielle Campagne, MD.
En estos temas
Una almohadilla grasa posterior es siempre anormal. También en esta radiografía, la línea humeral anterior no atraviesa el punto medio del capítulo humeral.
Image courtesy of Danielle Campagne, MD.