El sarampión es una infección vírica muy contagiosa que produce diversos síntomas similares al resfriado y una erupción característica. Puede causar complicaciones graves y puede ser fatal en algunas personas. La vacunación es eficaz para la prevención.
El sarampión está causado por un virus.
Los síntomas consisten en fiebre, congestión nasal, tosecilla (tusiculación), ojos enrojecidos y erupción cutánea de color rojo.
El diagnóstico generalmente se basa en los síntomas típicos, la erupción característica o las manchas blancas en la garganta.
Se realizan pruebas de laboratorio para confirmar el diagnóstico de sarampión en personas que tienen síntomas consistentes y en aquellas con factores de riesgo para exposición al sarampión.
No existe un medicamento antivírico para el sarampión, por lo que el tratamiento está dirigido a aliviar los síntomas.
Los niños con sarampión pueden recibir tratamiento con vitamina A.Los niños con sarampión pueden recibir tratamiento con vitamina A.
Aunque la mayoría de las personas se recuperan, el sarampión puede ser mortal o causar daño cerebral.
La vacunación sistemática evita la infección.
Las infecciones por sarampión son poco frecuentes en las zonas donde la mayoría de las personas han recibido la vacuna contra el sarampión. Antes de que la vacunación contra el sarampión se generalizara, se presentaban epidemias de sarampión cada 2 o 3 años, particularmente en niños en edad preescolar y escolar. Se daban pequeños brotes localizados durante los años en los que no había epidemias.
El sarampión todavía es frecuente en algunos países. A nivel mundial, el sarampión infecta cada año a unos 10 millones de personas y causa unas 100 000 muertes, principalmente entre los niños.
En Estados Unidos, el sarampión no es común debido a la vacunación infantil rutinaria. Entre 2000 y 2010, se reportó un promedio de sólo 71 casos anuales a los Centros para el control y la prevención de enfermedades (CDC).
En 2019 se notificaron 1274 casos de sarampión a los CDC (Centros para el Control y la Prevención de Enfermedades). Este es el número más alto registrado desde 1992. El aumento en 2019 fue causado principalmente por personas no vacunadas que se infectaron en países donde el sarampión es más común y luego viajaron a Estados Unidos. En 2020, solo se notificaron 13 casos de sarampión en Estados Unidos en plena pandemia global de COVID-19. De 2020 a 2023, hubo 242 casos notificados en total, y en 2024 hubo 285 casos en Estados Unidos.
Tanto el número total de casos como el número de brotes han aumentado significativamente en 2025. Desde enero hasta el 22 de mayo de 2025, se notificaron 1046 casos y 3 muertes en Estados Unidos. Hubo 14 brotes y el 92% de los casos se han asociado a un brote. Para comparación, se reportaron 16 brotes durante todo el año en 2024.
El número de brotes y casos generales de sarampión está aumentando porque la tasa de vacunación está disminuyendo. La reticencia a las vacunas se ha convertido en una causa más frecuente de la disminución en las tasas de vacunación. La vacilación ante la vacunación se produce cuando los padres retrasan o no permiten que sus hijos reciban algunas o todas las vacunas recomendadas. Por ejemplo, la tasa de vacunación entre niños que van al jardín de infancia en Estados Unidos disminuyó del 95,2% en el año escolar 2019-2020 al 92,7% en el año escolar 2023-2024.
Transmisión del sarampión
Las personas contraen el sarampión al respirar gotas de humedad grandes o pequeñas que, después de ser expelidas por una persona infectada al toser, son transportadas por el aire. Las personas pueden infectarse al tocar superficies donde caen las gotas, pero esta vía de infección es mucho menos común. La mayoría de las personas que no son inmunes al sarampión desarrollan la infección después de estar expuestas al virus.
El sarampión es contagioso desde 4 días antes hasta 4 días después de que aparezca la erupción. Las personas que tienen sarampión pueden no darse cuenta de que están infectadas o son contagiosas y pueden transmitir la infección a otras personas sin saberlo.
Viajar a áreas donde el sarampión es común o donde hay un brote activo es un factor de riesgo para la transmisión del sarampión.
Una mujer embarazada que ha tenido sarampión o ha sido vacunada pasa inmunidad a su hijo en forma de anticuerpos que atraviesan la placenta. Esta inmunidad dura la mayor parte de los primeros 6 a 12 meses de vida. Sin embargo, después de eso, los niños que están expuestos al virus del sarampión corren un riesgo elevado de infectarse a menos que hayan sido vacunados.
Una persona que ha tenido sarampión desarrolla inmunidad y, por lo general, no puede volver a infectarse de sarampión. Los adultos nacidos antes de 1957 también se presume que han estado expuestos al sarampión y por lo tanto son inmunes.
Síntomas del sarampión
El sarampión es una infección viral contagiosa que usualmente se desarrolla siguiendo un patrón de tiempo característico (el número de días es aproximado y varía para cada persona):
Exposición: se produce cuando una persona entra en contacto con el virus.
Período de incubación: Después de la exposición, usualmente transcurren alrededor de 7 a 21 días (un promedio de 11 a 12 días) para que los síntomas comiencen. Durante este tiempo, el virus está en el cuerpo, pero la persona no se siente enferma.
Pródromo: esta fase dura entre 3 y 7 días. Durante esta fase aparecen síntomas como fiebre, tos, secreción nasal y enrojecimiento ocular, y pueden aparecer pequeñas manchas blancas en la garganta, aunque la erupción aún no se ha desarrollado.
Erupción: la erupción del sarampión aparece después de la fase prodrómica y dura alrededor de 4 a 7 días. Por lo general, comienza en la cara y se extiende al resto del cuerpo. Después de este período, la erupción comienza a desvanecerse rápidamente. Si no aparecen complicaciones, la persona comienza a sentirse mejor.
Los síntomas del sarampión comienzan alrededor de 11 a 12 días después de que una persona está expuesta al virus. La persona infectada desarrolla primero fiebre, secreción nasal, tos seca y ojos enrojecidos.
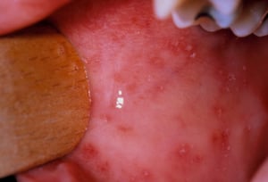
Antes de que comience la erupción, pueden aparecer manchas de Koplik dentro de la boca. Las manchas de Koplik son pequeñas manchas de color rojo brillante con centros blancos o blanco azulados. Los centros pueden parecerse a granos de arena.
Las manchas de Koplik son manchas rojas brillantes con centros blancos o azulados que se asemejan a los granos de arena. Pueden aparecer en cualquier parte de la boca en personas con sarampión.
Las manchas de Koplik son manchas rojas brillantes con centros blancos o azulados que se asemejan a los granos de arena
Imagenes cortesía del Public Health Image Library of the Centers for Disease Control and Prevention.
Las manchas de Koplik son manchas rojas brillantes con centros blancos o azulados que se asemejan a los granos de arena. Pueden aparecer en cualquier parte de la boca en personas con sarampión.
Las manchas de Koplik son manchas rojas brillantes con centros blancos o azulados que se asemejan a los granos de arena
DR P. MARAZZI/SCIENCE PHOTO LIBRARY
Las manchas de Koplik son manchas rojas brillantes con centros blancos o azulados que se asemejan a los granos de arena. Pueden aparecer en cualquier parte de la boca en personas con sarampión.
Las manchas de Koplik son manchas rojas brillantes con centros blancos o azulados que se asemejan a los granos de arena
DR P. MARAZZI/SCIENCE PHOTO LIBRARY
Aparece una erupción entre 3 y 7 días después del inicio de los síntomas. La erupción comienza en la cara delante y debajo de las orejas y en el lateral del cuello. Se ve como áreas irregulares y planas que pronto se vuelven elevadas. La erupción es roja en personas con piel clara y puede ser púrpura o más oscura que el área circundante en personas con piel oscura. La erupción se extiende en 1 o 2 días hacia el tronco, brazos, palmas de las manos, piernas y plantas de los pies y luego empieza a desaparecer de la cara. La piel puede descamarse después de que la erupción en la cara desaparezca.
Esta foto muestra la erupción causada por el sarampión.
Esta foto muestra la erupción causada por el sarampión.
Imagen cortesía de la Public Health Image Library of the Centers for Disease Control and Prevention.
Esta foto muestra la erupción causada por el sarampión.
Esta foto muestra la erupción causada por el sarampión.
SCIENCE PHOTO LIBRARY
Esta foto muestra la erupción causada por el sarampión.
Esta foto muestra la erupción causada por el sarampión.
CDC/ Betty G. Partin
Cuando la infección es más grave, la persona se siente muy enferma y desarrolla inflamación ocular (conjuntivitis), hinchazón y sensibilidad a la luz brillante; la erupción es extensa; y la temperatura de la persona puede superar los 104° F (40° C).
Después de otros 4 a 7 días, baja la temperatura, la persona empieza a sentirse mejor y cualquier mancha que aún permanece desaparece rápidamente. La erupción adquiere un color parduzco y luego se descama la piel.
Las personas infectadas son contagiosas desde 4 días antes hasta 4 días después de que comience la erupción.
Complicaciones del sarampión
Los niños pequeños y las personas que están embarazadas, desnutridas o que tienen un sistema inmunológico debilitado corren un riesgo mayor de desarrollar complicaciones a causa del sarampión. La infección por sarampión puede llevar a una depresión inmunológica que dura meses o años después de recuperarse del sarampión y puede predisponer a las personas previamente infectadas a otras infecciones.
Las infecciones bacterianas asociadas con el sarampión, llamadas sobreinfecciones, incluyen neumonía, bronquitis, y otitis media (infección del oído medio).
La neumonía causada por la infección de los pulmones debida al sarampión se produce en aproximadamente el 6% de las personas. En los casos mortales de sarampión en lactantes, la causa de la muerte suele ser la neumonía.
Durante una infección se pueden producir una inflamación del hígado (hepatitis) y una diarrea pasajeras.
La infección del encéfalo (véase encefalitis) ocurre en 1 de cada 1000 niños con sarampión. Cuando se presenta, suele empezar con fiebre alta, cefalea, convulsiones y coma, habitualmente entre 2 días y 2 semanas después de la aparición de la erupción. La enfermedad puede ser breve, con un restablecimiento al cabo de aproximadamente 1 semana, o bien puede durar más tiempo y causar un grave daño cerebral o incluso la muerte.
El sangrado excesivo puede ser posterior a la remisión de la infección por sarampión porque descienden los niveles de plaquetas en la sangre de la persona afectada (trombocitopenia). Las personas afectadas generalmente tienen moretones en la piel y sangrado leve, pero en ocasiones el sangrado es grave.
La panencefalitis esclerosante subaguda es una complicación rara y mortal del sarampión. Causa daño cerebral y deterioro cerebral progresivo. Estos síntomas pueden desarrollarse hasta 7 a 10 años después de una infección por sarampión y son más comunes entre las personas que originalmente se infectaron por sarampión cuando eran niños pequeños (menos de 5 años de edad).
Diagnóstico del sarampión
Evaluación médica
Pruebas de laboratorio
Los médicos sospechan sarampión en personas que tienen los síntomas característicos similares al resfriado, las manchas de Koplik y la erupción característica.
Los médicos confirman el diagnóstico tomando muestras de sangre, orina, nariz y garganta y enviándolas al laboratorio para su análisis. Estas pruebas son especialmente útiles para diagnosticar a personas que tienen síntomas y que no están vacunadas o no están completamente vacunadas o que recientemente han estado expuestas al virus del sarampión.
Tratamiento del sarampión
Vitamina A para niños
Fármacos para reducir la fiebre
A veces antibióticos si se desarrolla una infección bacteriana
No existe medicación antiviral para tratar el sarampión.
Las personas infectadas que son hospitalizadas deben ser colocadas en habitaciones especiales del hospital y aisladas de los demás durante su enfermedad. Las personas infectadas que no están hospitalizadas deben limitar seriamente el contacto con otras personas durante su enfermedad.
Los médicos administran vitamina A a todos los niños con sarampión porque la Los médicos administran vitamina A a todos los niños con sarampión porque lavitamina A ha demostrado que reduce el número de muertes e infecciones graves causadas por el sarampión en países donde es frecuente la carencia de vitamina A.
Para reducir la fiebre se administra paracetamol (acetaminofeno) o ibuprofeno.Para reducir la fiebre se administra paracetamol (acetaminofeno) o ibuprofeno.
Se pueden administrar antibióticos a las personas que desarrollan otras infecciones causadas por bacterias, como una infección del oído.
Pronóstico del sarampión
En los Estados Unidos, el sarampión es fatal en aproximadamente 1 a 3 de cada 1000 personas infectadas. A nivel mundial, el sarampión es mortal en aproximadamente 1 de cada 100 personas infectadas.
Las personas que se infectan cuando son lactantes, las personas con acceso limitado a la atención médica, las personas con desnutrición grave y deficiencia de vitamina A y las personas que desarrollan neumonía tienen tasas más elevadas de muerte por sarampión.
Véase también Complicaciones del sarampión
Prevención del sarampión
Vacuna contra el sarampión, las paperas y la rubéola
Prevención antes de la exposición
Las personas ya infectadas de sarampión en el pasado son inmunes. Esto incluye a todos los adultos nacidos antes de 1957, que se presume que son inmunes al sarampión porque probablemente estuvieron expuestos al virus.
Dos dosis de la vacuna contra el sarampión son eficaces en un 96% para prevenir el sarampión. La vacuna contra el sarampión se administra como parte de la vacuna contra el sarampión, las paperas y la rubéola combinada (vacuna triple vírica), que contiene virus del sarampión, las paperas y la rubéola vivos pero debilitados. La vacuna contra el sarampión, las paperas y la rubéola es una de las inmunizaciones sistemáticas de la infancia y se administra a los niños en la mayoría de los países con una infraestructura de atención médica sólida.
El programa de vacunación MMR de 2 dosis se introdujo en 1989; por lo tanto, los adultos nacidos entre 1957 y 1989 pueden haber recibido solo una dosis. Para los adultos de este grupo, se recomiendan 1 a 2 dosis adicionales a aquellos cuyos análisis de sangre no muestran que son inmunes y que tienen mayor riesgo de infección (por ejemplo, estudiantes universitarios, trabajadores de la salud, viajeros internacionales, contactos de personas inmunocomprometidas y aquellos con infección por VIH).
La vacuna contra el sarampión, las paperas y la rubéola proporciona generalmente inmunidad duradera y ha reducido los casos de sarampión en Estados Unidos en un 99%.
En algunas personas, la vacuna causa fiebre leve y una erupción, pero las personas no son contagiosas.
La vacuna contra el sarampión, las paperas y la rubéola (MMR, por sus siglas en inglés) es una vacuna viva y no se administra durante el embarazo. Tampoco se administra a ciertas personas que tienen un sistema inmunológico severamente debilitado o a personas que han tenido una reacción alérgica grave y potencialmente mortal (como una reacción anafiláctica) a un componente de la vacuna o a una dosis previa de la vacuna.
Para obtener más información sobre quién debe y quién no debe recibir la vacuna contra el sarampión, las paperas y la rubéola, consulte Dosis y recomendaciones para la vacuna contra el sarampión, las paperas y la rubéola. Véase también Efectos secundarios de la vacuna contra el sarampión, las paperas y la rubéola.
Tratamiento preventivo después de la exposición
Los niños (y los adultos) que están expuestos al sarampión y que no tienen inmunidad pueden recibir la vacuna contra sarampión-paperas-rubéola dentro de los 3 días posteriores a la exposición, de modo que puedan quedar protegidos. Si la vacuna no se puede administrar dentro de los 3 días siguientes o la persona expuesta no es elegible para recibir la vacuna, se administra inmunoglobulina inmediatamente (dentro de los 6 días siguientes).
Las personas que recibieron inmunoglobulina mediante inyección en un músculo pueden recibir la vacuna MMR 6 meses después, y las personas que recibieron inmunoglobulina mediante inyección en una vena pueden recibir la vacuna MMR 8 meses después.



