Osteocondroma de la rodilla
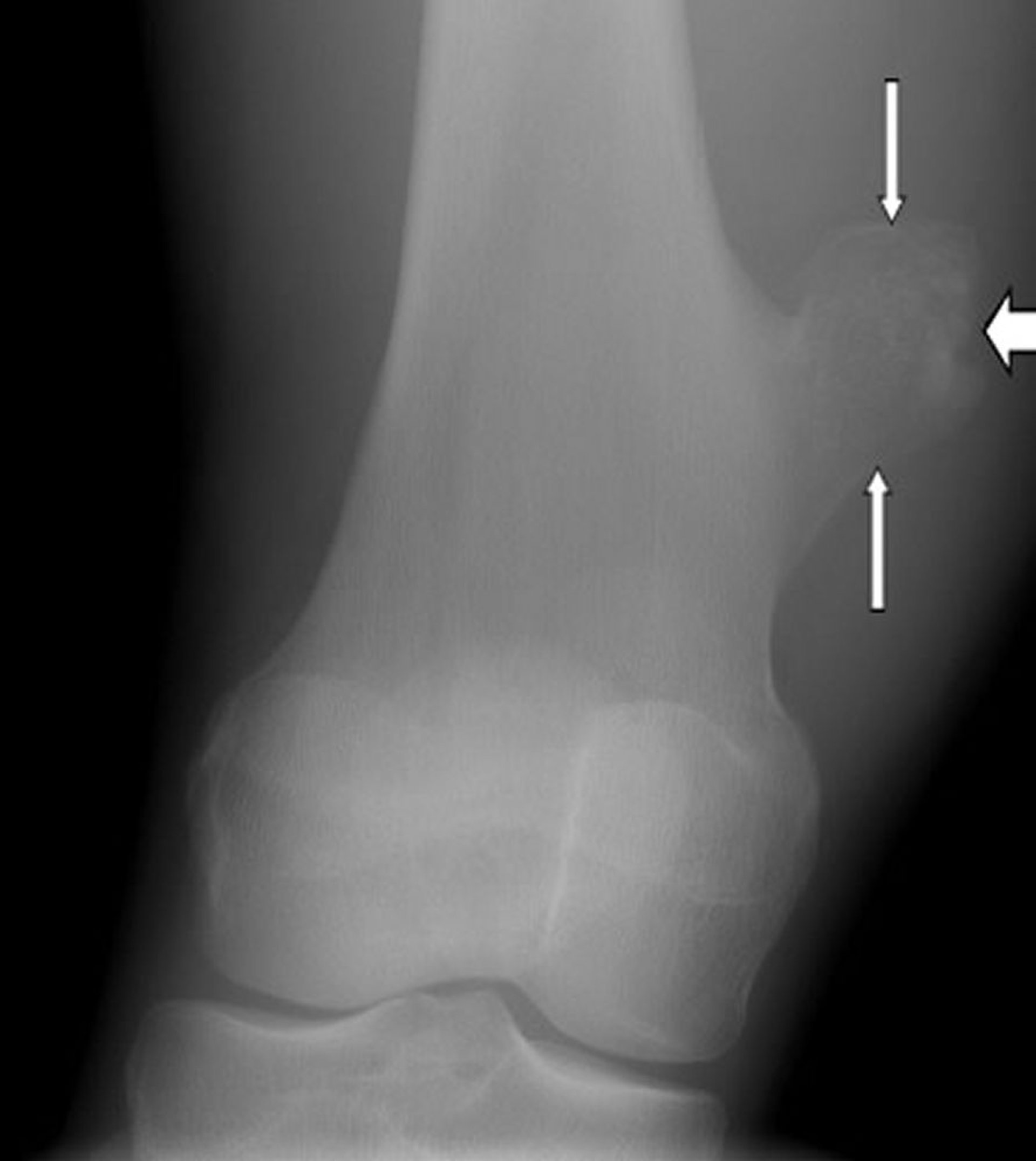
Esta radiografía de la rodilla muestra un osteocondroma, que es el crecimiento en la superficie del fémur (flechas) por encima de la articulación de la rodilla.
Imagen cortesía de Michael J. Joyce, MD, y Hakan Ilaslan, MD.
En estos temas
