Neumonitis química causada por inhalación de hidrocarburos
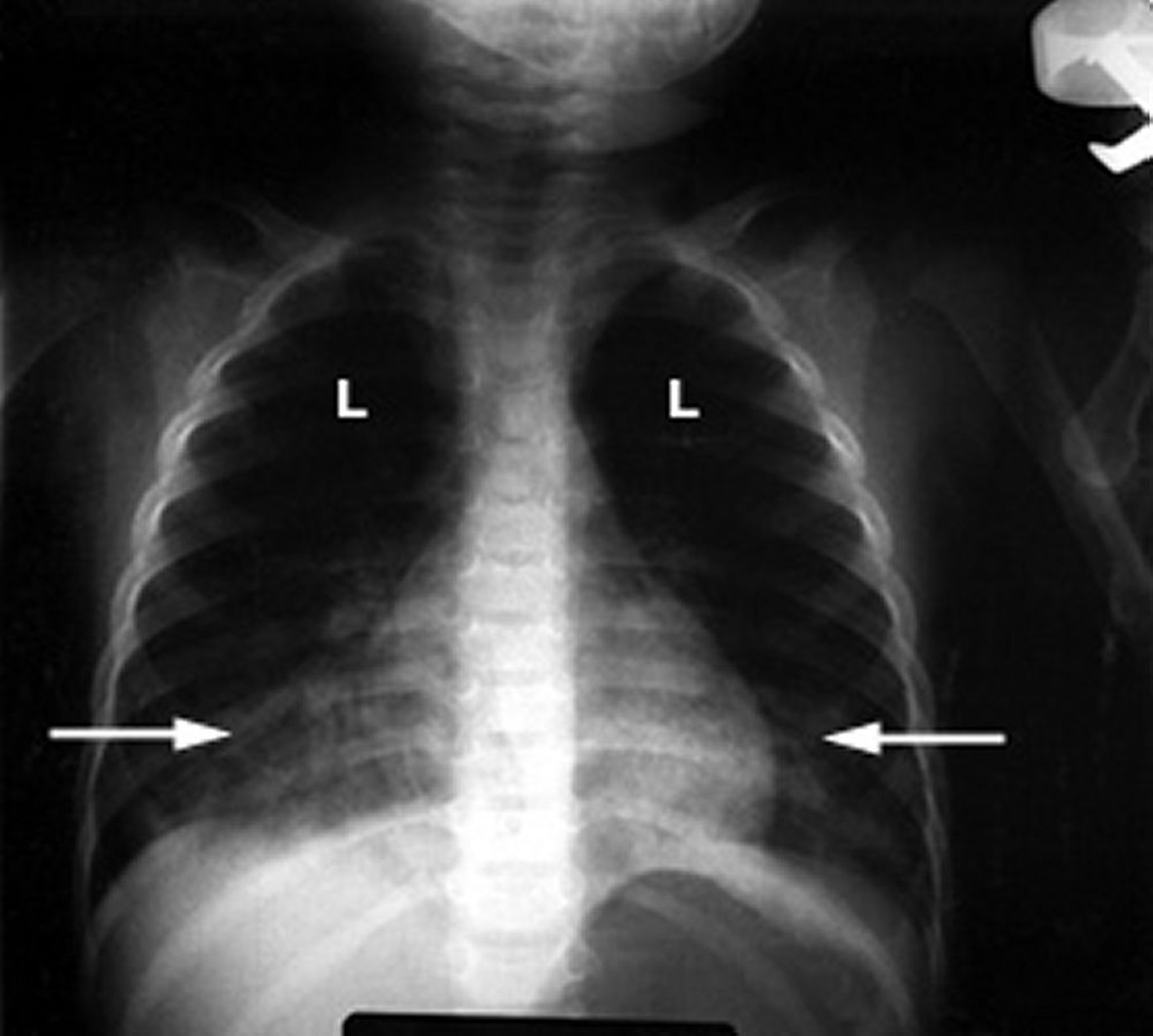
Una radiografía de tórax anormal de un bebé muestra infiltrados blancos y esponjosos (flechas) en los pulmones (L), lo que indica inflamación. Este hallazgo es característico del daño pulmonar debido a la intoxicación por hidrocarburos.
Cortesía de G. Schmidt, MD.
En estos temas
