Hipema
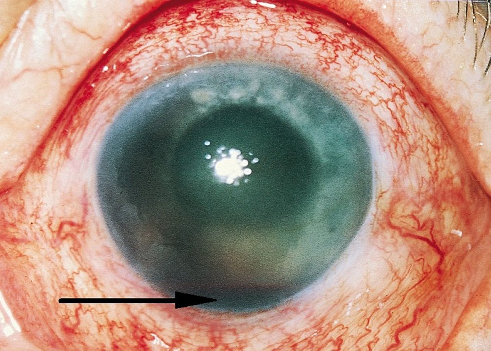
Esta persona tiene un hifema (flecha) y el enrojecimiento de la fina membrana mucosa que cubre la córnea (conjuntiva).
© Springer Science + Business Media
En estos temas
Esta persona tiene un hifema (flecha) y el enrojecimiento de la fina membrana mucosa que cubre la córnea (conjuntiva).
© Springer Science + Business Media