Kalkaneusfrakturen

VonDanielle Campagne, MD, University of California, San Francisco
Reviewed ByDiane M. Birnbaumer, MD, David Geffen School of Medicine at UCLA
Überprüft/überarbeitet Geändert März 2025
v13387676_de
Aussicht hier klicken.

Frakturen des Calcaneus (Fersenbein) sind häufig die Folge großer Krafteinwirkung. Die Diagnose wird durch Röntgenaufnahmen und, wenn nötig, eine CT gestellt. Die Behandlung erfordert orthopädische Beratung und umfasst Eingipsen und manchmal Operation.

(Siehe auch Überblick über Frakturen.)

Kalkaneusfrakturen sind ernste, aber seltene Verletzungen. Wenn sie nicht diagnostiziert und sofort behandelt werden, können sie zu langfristigen Behinderungen führen. Bis zu 10% dieser Frakturen werden bei der ersten Präsentation in einer Notaufnahme nicht erkannt.

Typischerweise resultieren diese Frakturen von einer hochenergetischen Axiallast auf den Fuß (z. B. Fall aus der Höhe auf die Fersen). Da diese Frakturen große Kraft erfordern, werden sie oft von anderen schweren Verletzungen begleitet; 10% der Patienten mit einer Kalkaneusfraktur haben eine thorakolumbale Kompressionsfraktur.

Spannungsrisse können auch im Fersenbein auftreten, insbesondere bei Sportlern, wie Langstreckenläufern.

Kalkaneusfrakturen können intraartikulär sein.

Symptome und Beschwerden von Kalkaneusfrakturen

In der Regel ist der Bereich um die Ferse und den hinteren Fuß empfindlich und sehr geschwollen. Die Patienten können ihren Fuß nicht belasten.

Ein akutes Kompartmentsyndrom tritt bei bis zu 10% der Patienten.

Diagnose von Kalkaneusfrakturen

  • Röntgenaufnahmen

  • Gelegentlich CT

Bei Verdacht auf eine Kalkaneusfraktur sollten Röntgenaufnahmen mit axialen und lateralen Ansichten durchgeführt werden.

CT wird durchgeführt, wenn

  • Röntgenaufnahmen sind negativ, aber klinische Befunde deuten auf eine Kalkaneusfraktur hin.

  • Der Böhler-Winkel < 20º ist.

  • Weitere Einzelheiten zum Bruch benötigt werden.

Bilder vom Kalkaneus
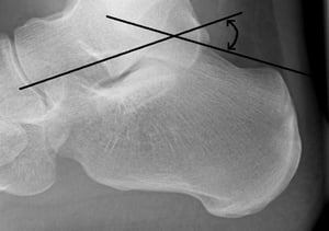
Böhler-Winkel
Böhler-Winkel

Der Bohler-Winkel wird durch den Schnittpunkt einer Linie vom Oberrand der hinteren Fersenbeinhöcker an der übergeordneten subtalaren Gelenkfläche und einer Linie von der oberen subtalaren Gelenkfläche zum Oberrand des vorderen Kalkaneus-Prozesses gebildet. Normalerweise beträgt der Winkel 20 bis 40°. Ein Winkel von

Der Bohler-Winkel wird durch den Schnittpunkt einer Linie vom Oberrand der hinteren Fersenbeinhöcker an der übergeordne

... Erfahren Sie mehr

Image courtesy of Danielle Campagne, MD.

Kalkaneusfraktur
Kalkaneusfraktur

Diese Röntgenaufnahme zeigt eine Trümmerfraktur des Kalkaneus.

Diese Röntgenaufnahme zeigt eine Trümmerfraktur des Kalkaneus.

Image courtesy of Danielle Campagne, MD.

Der Böhler-Winkel wird auf dem seitlichen Röntgenbild bestimmt. Dieser Winkel wird durch den Schnittpunkt einer Linie vom Oberrand der hinteren Fersenbeinhöcker an der übergeordneten subtalaren Gelenkfläche und einer Linie von der oberen subtalaren Gelenkfläche zum Oberrand des vorderen Kalkaneus-Prozesses gebildet. Normalerweise beträgt der Winkel 20 bis 40°. Ein Winkel von < 20° deutet auf eine Fraktur hin.

Tipps und Risiken

  • Wenn Patienten eine Schwellung des Fersenbeins und Berührungsempfindlichkeit nach einer hochenergetischen axialen Belastung auf das Fersenbein haben, überprüfen Sie den Böhler-Winkel auf dem Röntgenbild, und suchen Sie nach thorakolumbaren Kompressionsfrakturen sowie einem Kompartmentsyndrom.

Ärzte sollten auch auf andere Verletzungen wie thorakolumbale Kompressionsfrakturen und Kompartmentsyndrome achten.

Behandlung von Kalkaneusfrakturen

  • Orthopädische Beratung

  • Gips oder möglicherweise Operation in Abhängigkeit von der Art der Fraktur

Orthopädische Beratung ist notwendig.

Die Frage, ob intraartikuläre Kalkaneusfrakturen chirurgisch oder nicht chirurgisch behandelt werden sollten, ist umstritten; in der Literatur wird überwiegend eine chirurgische Versorgung empfohlen.

Extraartikuläre Kalkaneusfrakturen werden symptomatisch mit Schutz, Ruhe (Vermeidung von Gewichtsbelastung), einem Kompressionsverband (der auch einen Schutz bietet), Eis und Hochlagerung (PRICE) behandelt. Wenn die Schwellung zurückgeht, wird ein Gips angelegt.

Wichtige Punkte

  • Wenn Kalkaneusfrakturen nicht diagnostiziert und sofort behandelt werden, können sie zu langfristigen Behinderungen führen.

  • Da diese Frakturen in der Regel aus einer hochenergetischen Axialbelastung am Fuß resultieren, sind andere Verletzungen (z. B. thoracolumbare Kompressionsfraktur) oft vorhanden; zu anderen Komplikationen gehört das Kompartmentsyndrom (bis zu 10%).

  • Die Diagnose basiert auf Röntgenaufnahmen und, wenn notwendig, CT.

  • Ob intra-artikuläre Fersenfrakturen operativ oder nicht-operativ behandelt werden sollen, ist umstritten.

  • Bei der Diagnose einer Kalkaneusfraktur sollte immer nach einer thorakolumbalen Fraktur gesucht werden.

  • Behandeln sie extraartikuläre Kalkaneusfrakturen symptomatisch nach dem PRICE-Schema (protection, rest, ice, compression, elevation), gefolgt von einem Gipsverband.

quizzes_lightbulb_red
Test your KnowledgeTake a Quiz!
DE_MSD_Mobile_Pro_326iOS ANDROID
DE_MSD_Mobile_Pro_326iOS ANDROID
DE_MSD_Mobile_QR_Pro_326iOS ANDROID