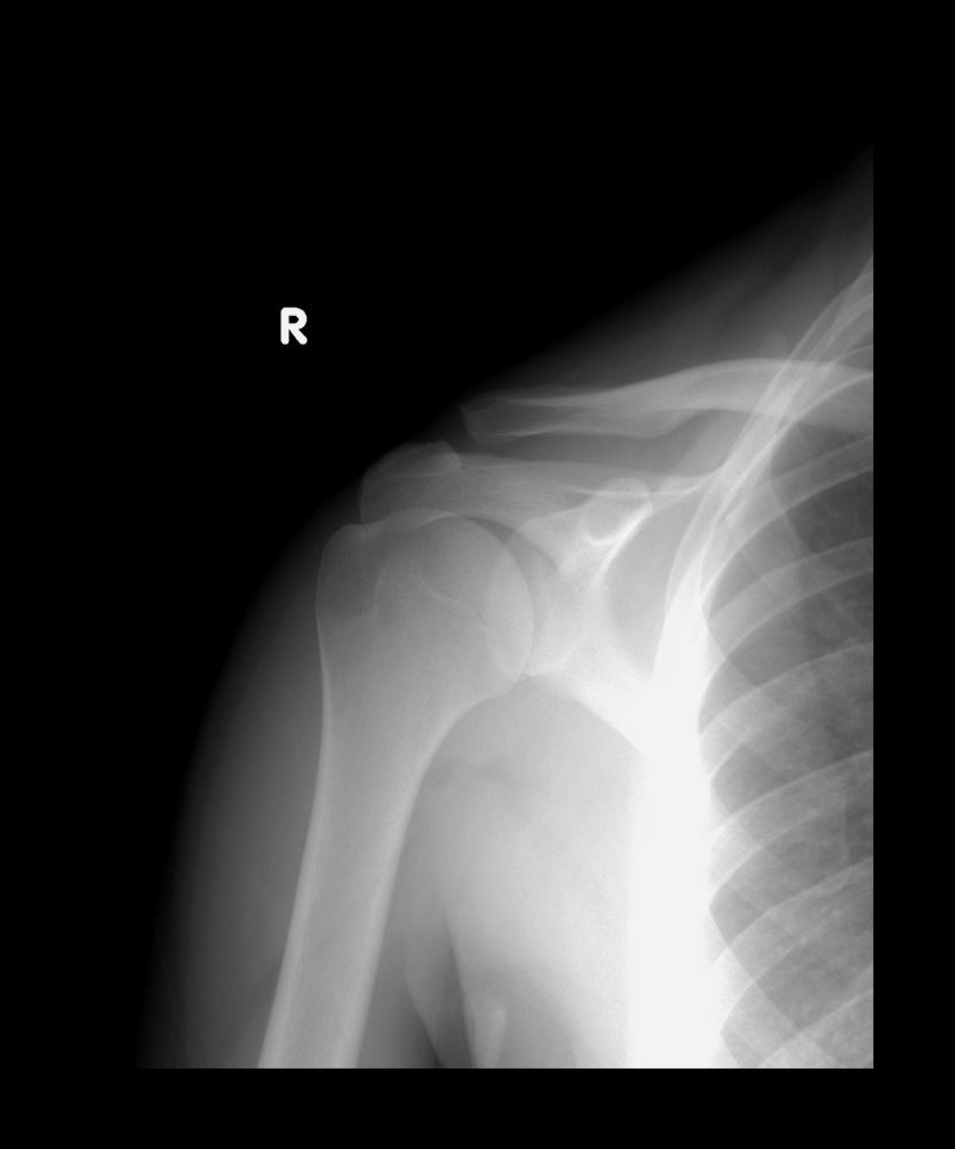
Verstauchung des Akromioklavikulargelenks
Normalerweise stehen die unteren Enden des Akromions und der Clavicula in einer Linie. In dieser Röntgenaufnahme ist das Schlüsselbein nach oben verschoben, aber die beiden Knochen überlappen immer noch, was auf eine Subluxation vom Typ II hindeutet.
LIVING ART ENTERPRISES, LLC/SCIENCE PHOTO LIBRARY
In diesen Themen
