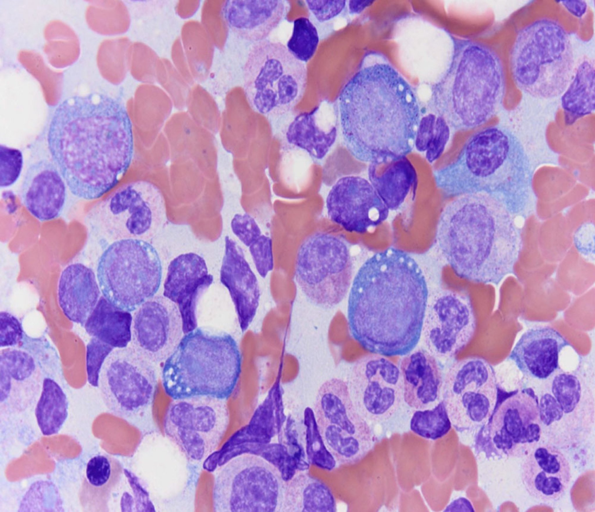
Vakuolen beim VEXAS-Syndrom
Dieses Bild zeigt hyperzelluläres Knochenmark mit atypischer Vakuolisierung bei einem Patienten mit VEXAS-Syndrom (Vakuolen, E1-Enzym, X-chromosomal, autoinflammatorisch, somatisch).
Image courtesy of Kinanah Yaseen, MD.
In diesen Themen
