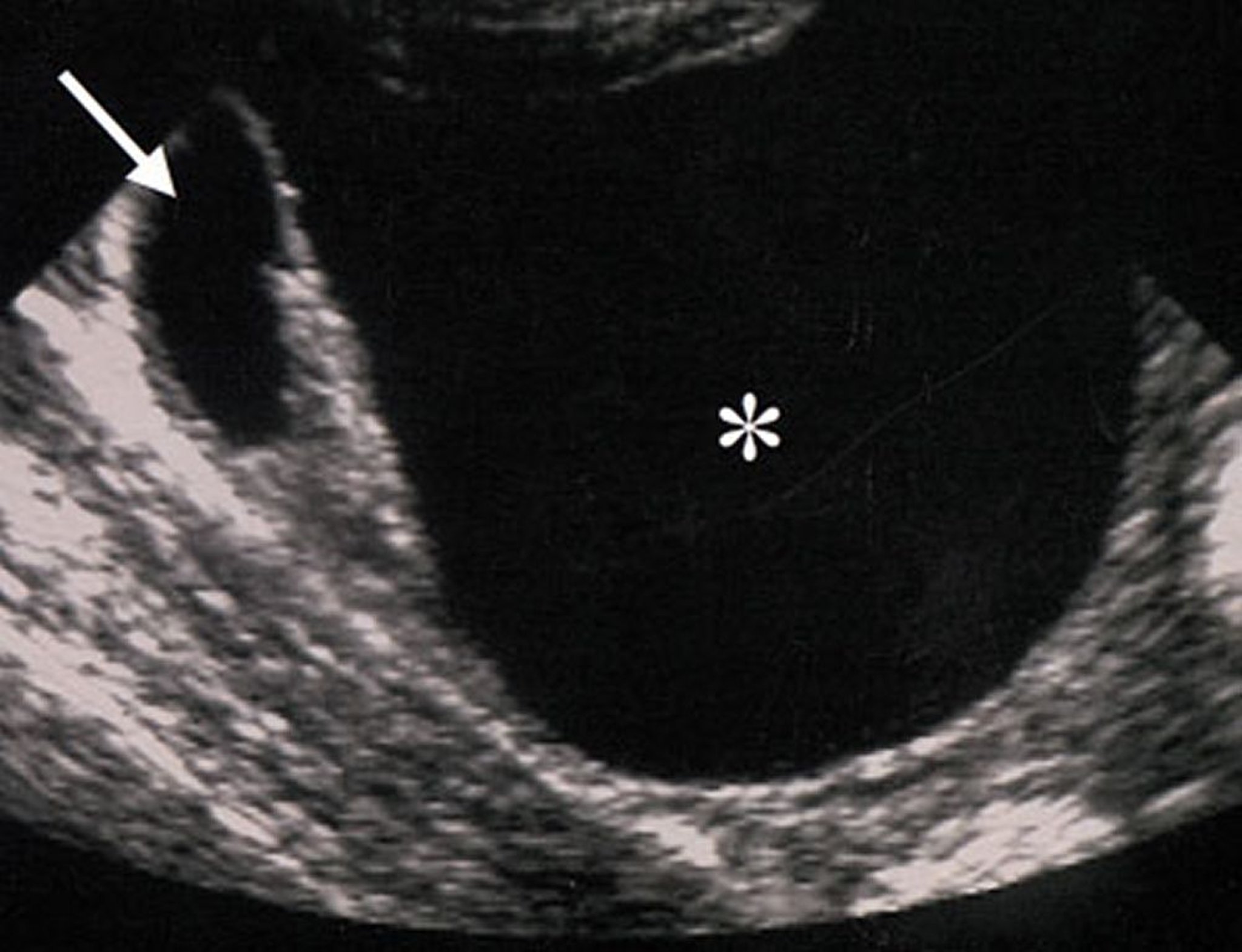
Ultraschall einer gutartigen ovariellen Raumforderung
Die Ultraschallmerkmale dieser ovariellen Raumforderung (mit einem Sternchen gekennzeichnet) deuten darauf hin, dass die Raumforderung gutartig ist. Die Raumforderung ist echofrei (was darauf hindeutet, dass keine festen Bestandteile vorhanden sind), regelmäßig, gut umschrieben und ohne Wandverdickungen oder Auswüchse.
By permission of the publisher. From Hricak H, Coakley F, Bergman A. In Atlas of Cancer. Edited by M Markman, RR Barakat, and WJ Hoskins. Philadelphia, Current Medicine, 2002.
In diesen Themen
