Transposition der Großen Gefäße
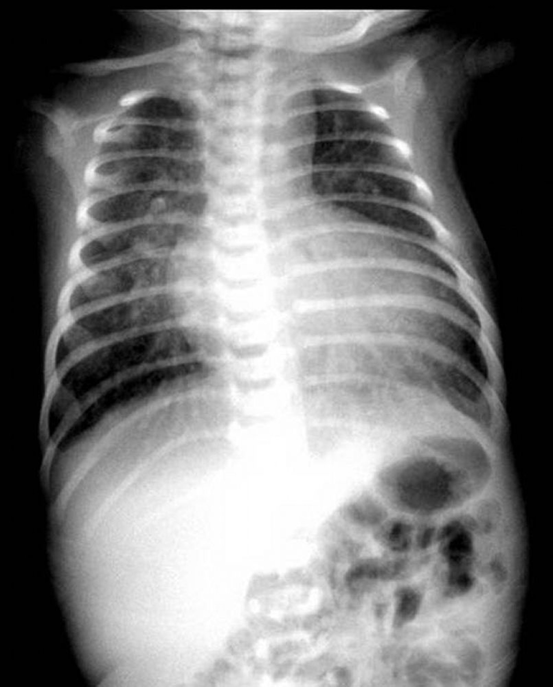
Röntgenaufnahme des Brustkorbs mit klassischem "Ei am Faden"-Erscheinungsbild bei einem Patienten mit Transposition der großen Arterien.
Abbildung zur Verfügung gestellt von Marie Baffa, MD.
In diesen Themen
Röntgenaufnahme des Brustkorbs mit klassischem "Ei am Faden"-Erscheinungsbild bei einem Patienten mit Transposition der großen Arterien.
Abbildung zur Verfügung gestellt von Marie Baffa, MD.