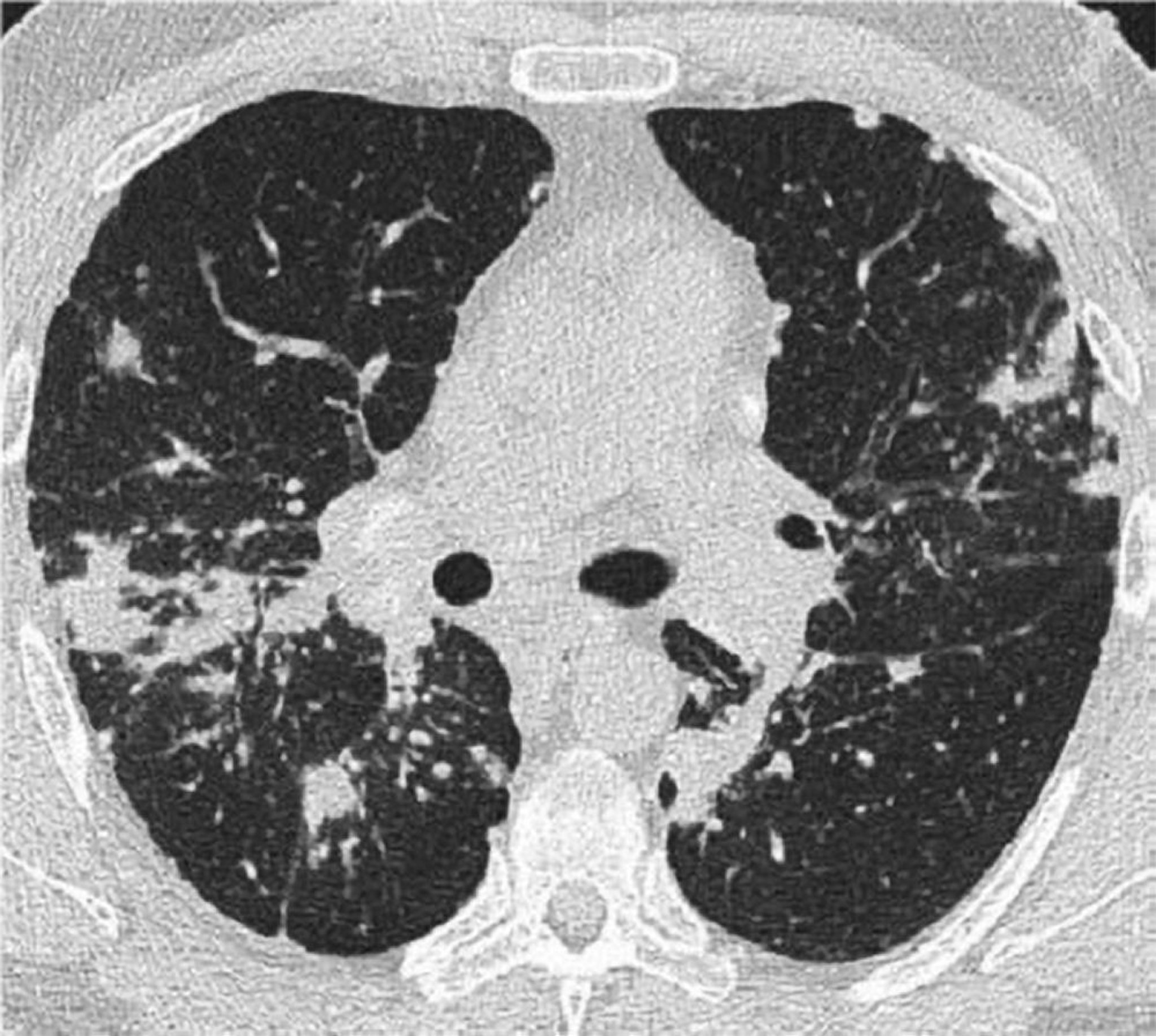
Thorax-CT-Scan bei pulmonaler Sarkoidose
Dieses hochauflösende CT des Thorax eines Patienten mit pulmonaler Sarkoidose zeigt eine Verdickung der bronchovaskulären Bündel und Perlenbildung der interlobulären Septen.
Image courtesy of Birendra P. Sah, MD, FCCP.
In diesen Themen
