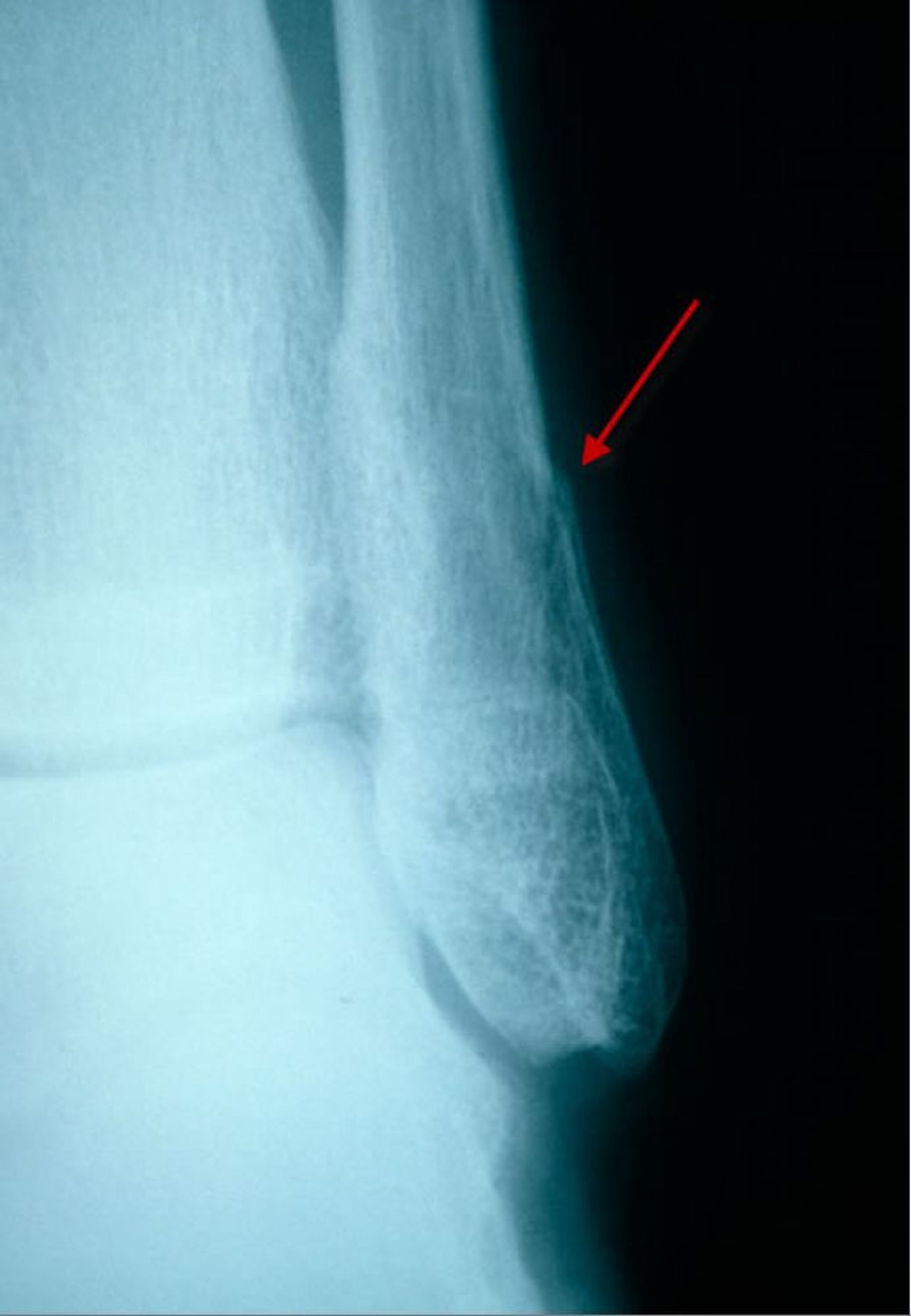
Subtile distale Fibulafraktur (Laterale Ansicht)
In dieser lateralen Ansicht ist eine Fraktur der distalen Fibula als kleine Aufhellung und Diskontinuität (Abstoßung) der Kortikalis sichtbar.
DR P. MARAZZI/SCIENCE PHOTO LIBRARY
In diesen Themen
In dieser lateralen Ansicht ist eine Fraktur der distalen Fibula als kleine Aufhellung und Diskontinuität (Abstoßung) der Kortikalis sichtbar.
DR P. MARAZZI/SCIENCE PHOTO LIBRARY