Subduralhämatom
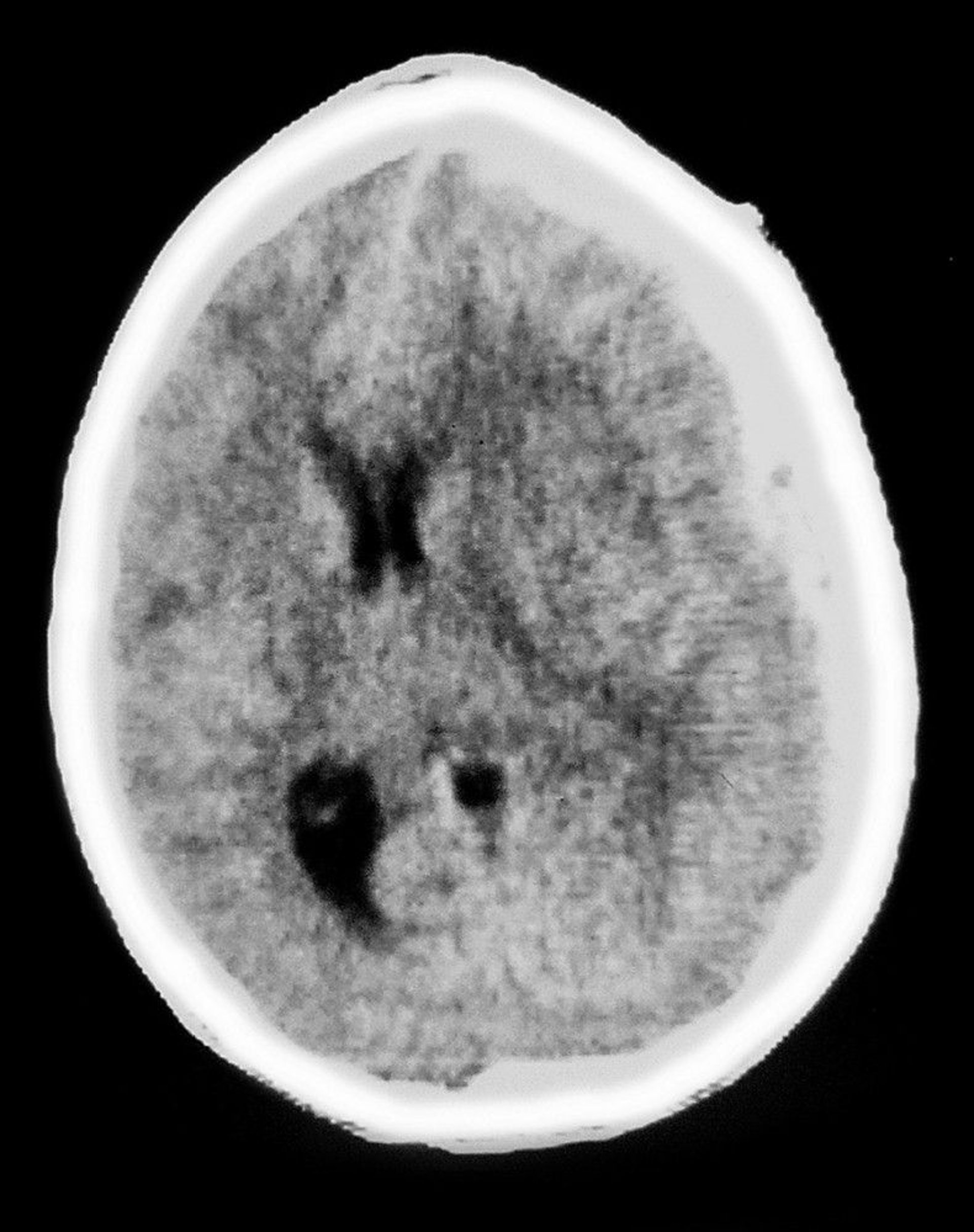
Diese CT-Aufnahme zeigt eine halbmondförmige Trübung über dem Hirngewebe, die für ein subdurales Hämatom charakteristisch ist. Es gibt auch eine Raumforderung mit Ventrikelkompression und Mittellinienverlagerung.
Cavallini James/BSIP/SCIENCE PHOTO LIBRARY
In diesen Themen
