Schwere Pneumonie
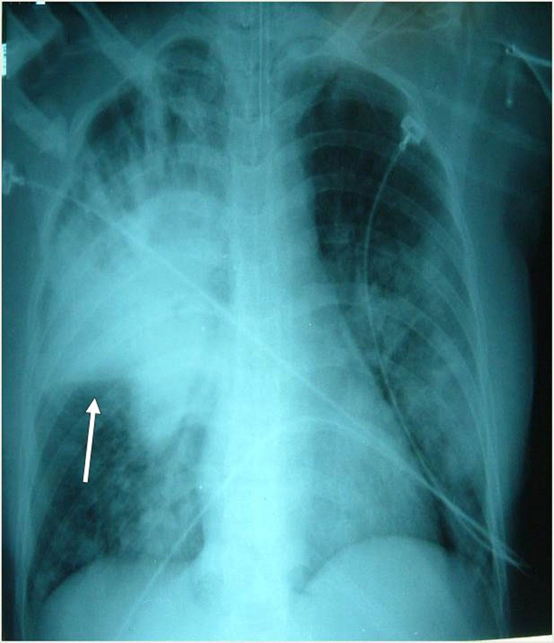
Dieser intubierte Patient weist mehrere bilaterale Infiltrate auf, am prominentesten im rechten Oberlappen. Der Pfeil zeigt die rechte horizontale Fissur an.
Photo courtesy of Thomas M. File, Jr., MD MSc MACP FIDSA FCCP.
In diesen Themen
