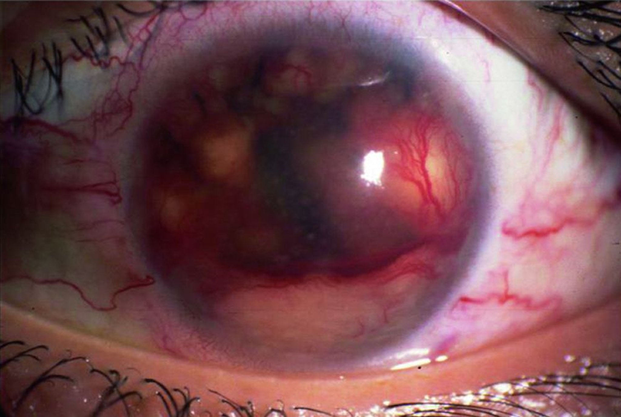
Sarkoidose (Irisgranulom)
Dieses Foto zeigt Irisgranulome (sichtbar als weiße Flecken), die auch als Papillarrandknötchen oder Koeppe-Knötchen bezeichnet werden.
© Springer Science+Business Media
Dieses Foto zeigt Irisgranulome (sichtbar als weiße Flecken), die auch als Papillarrandknötchen oder Koeppe-Knötchen bezeichnet werden.
© Springer Science+Business Media