Röntgenbild eines Kindes mit Krupp (Sagittalansicht)
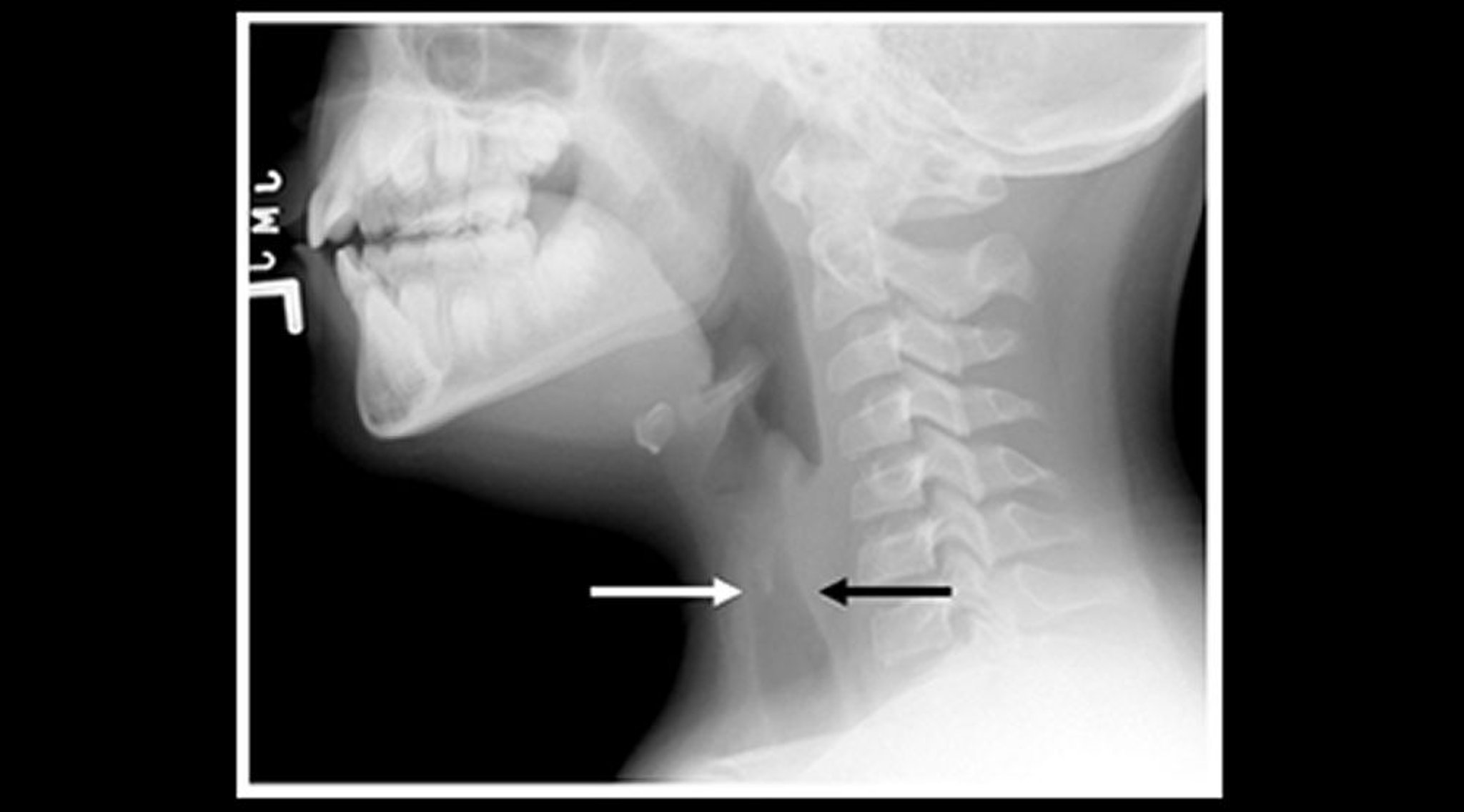
Röntgenaufnahmen der Halsweichteile eines Kindes mit Krupp zeigen eine Einengung des subglottischen trachealen Luftschattens (Pfeile) und eine Erweiterung der pharyngealen Luftzwischenräume.
Image courtesy of John McBride, MD.
In diesen Themen
