Riesenzelltumor des Knochens
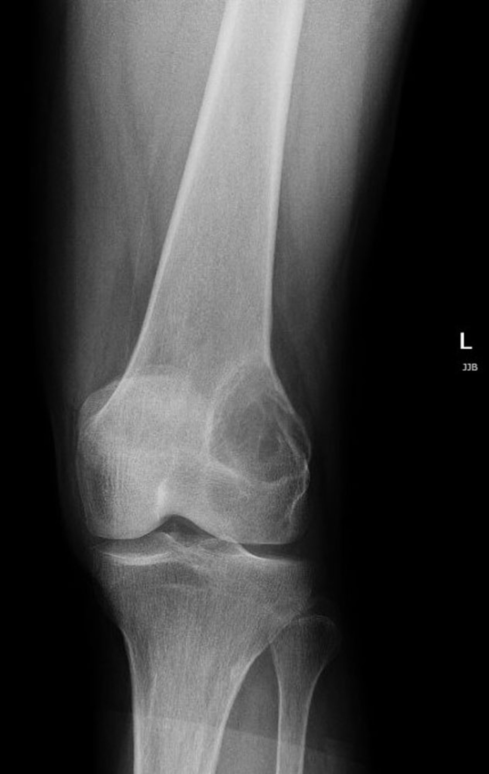
Diese Röntgenaufnahme des Knies zeigt eine strahlendurchlässige Läsion im lateralen distalen Femur über dem Knie, die für einen Riesenzelltumor des Knochens charakteristisch ist.
Image courtesy of Lukas Nystrom, MD.
In diesen Themen
