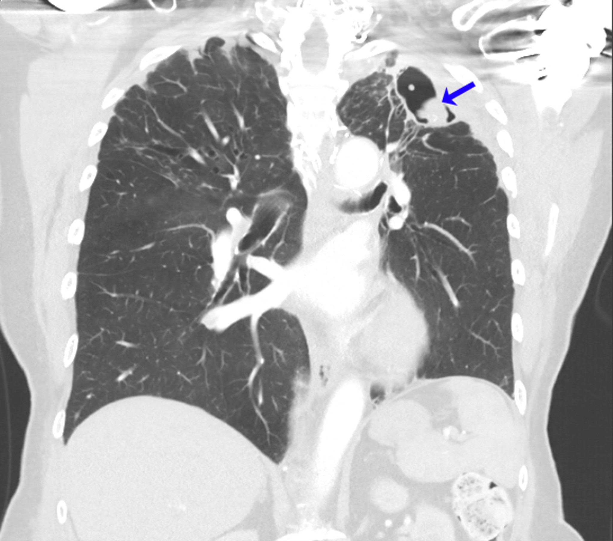
Rezidivierendes Aspergillom
Diese CT-Aufnahme zeigt die Lunge einer Person mit einer allergischen bronchopulmonalen Aspergillose in der Anamnese im Zusammenhang mit Asthma. Nach einer Aspergillom-Lobektomie des linken Oberlappens entwickelte sich ein rezidivierendes Myzetom an der linken Lungenspitze (Pfeil).
Image courtesy of Paschalis Vergidis, MD, MSc.
In diesen Themen
