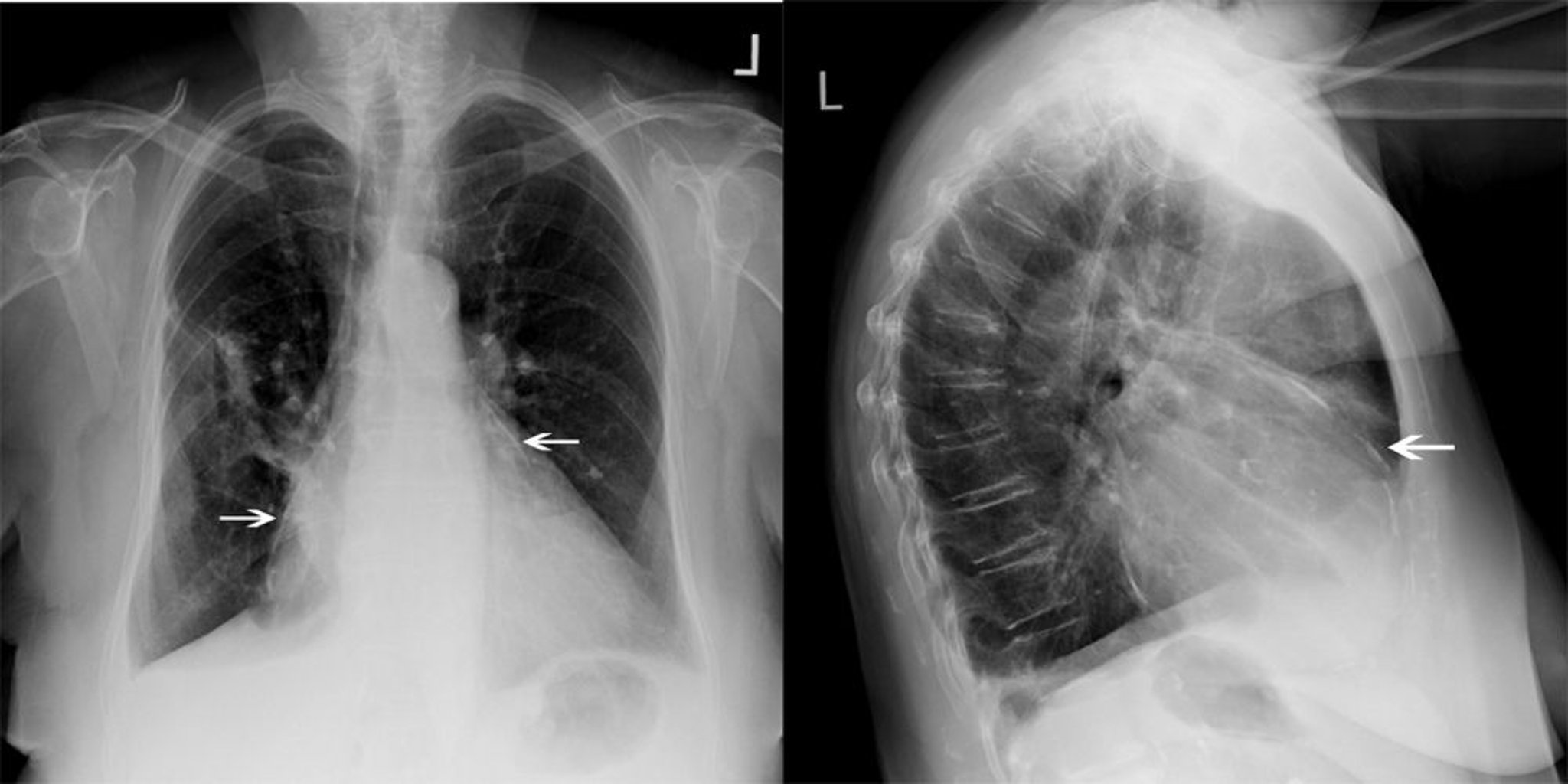
Röntgenthorax eines Patienten mit konstriktiver Perikarditis
Dieser Patient mit konstriktiver Perikarditis weist eine deutliche Perikardverkalkung auf (weiße Pfeile).
© 2017 Elliot K. Fishman, MD.
In diesen Themen
Dieser Patient mit konstriktiver Perikarditis weist eine deutliche Perikardverkalkung auf (weiße Pfeile).
© 2017 Elliot K. Fishman, MD.