Röntgenbild eines Kindes mit Krupp (koronale Ansicht)

Röntgenbild eines Kindes mit Krupp (koronale Ansicht)

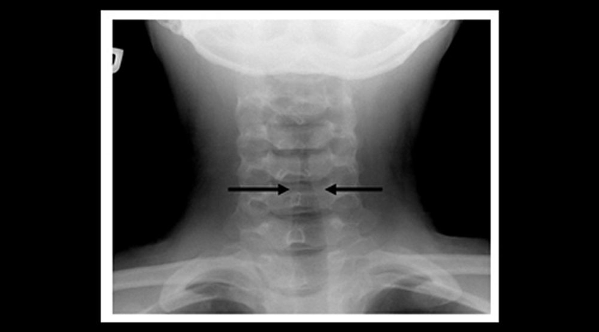
Röntgenaufnahmen der Halsweichteile eines Kindes mit Krupp zeigen eine allmähliche Einengung des subglottischen trachealen Luftschattens (Kirchturm-Zeichen; Pfeile) und eine Erweiterung der pharyngealen Luftzwischenräume.

Image courtesy of John McBride, MD.

In diesen Themen