Pulmonale Langerhans-Zell-Histiozytose
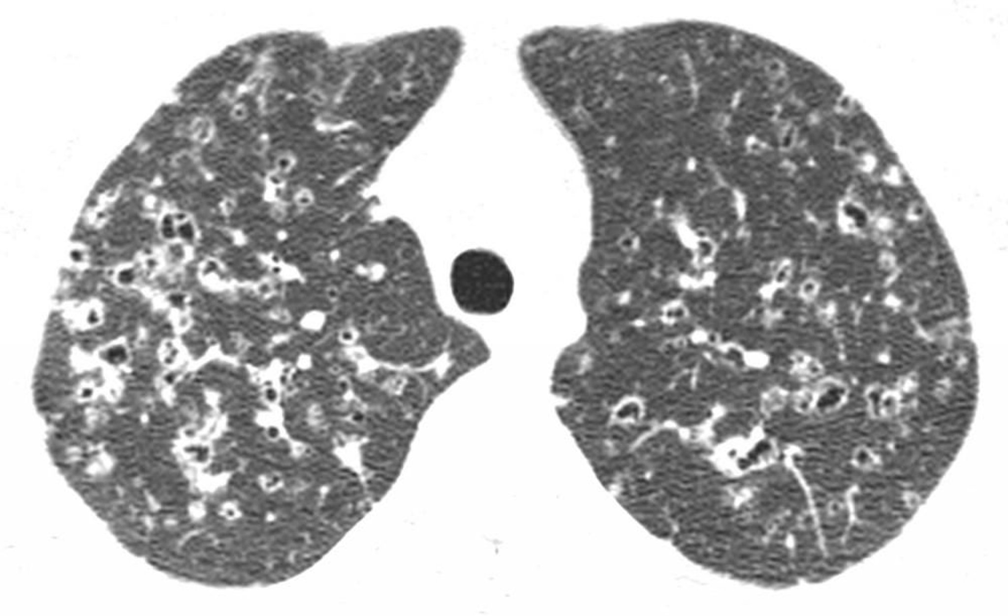
Die hochauflösende CT durch die oberen Lappen zeigt Knötchen und unregelmäßige Luftdichte-Zysten, meist in der oberen und mittleren Lungenregion. Diese Befunde sind charakteristisch für eine Langerhans-Zell-Histiozytose bei einem Patienten mit Tabakkonsum in der Vorgeschichte.
Image courtesy of Harold R. Collard, MD.
In diesen Themen
