Proximale Humerusfrakturen
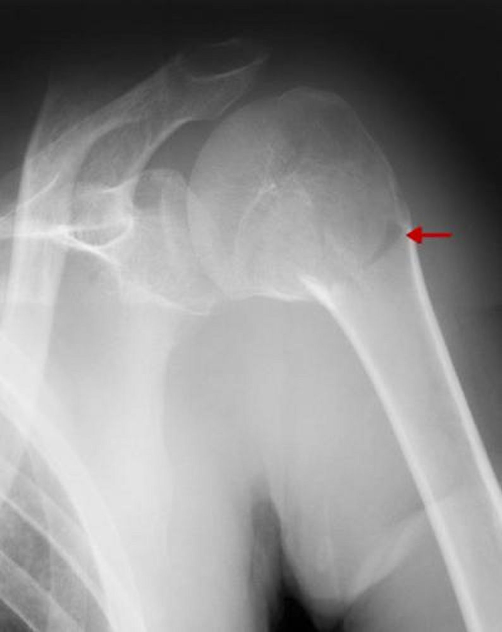
Diese Fraktur betrifft den Operationshals. Da keine signifikante Verschiebung oder Angulation > 45° vorliegt, handelt es sich um eine einteilige Fraktur.
ZEPHYR/SCIENCE PHOTO LIBRARY
In diesen Themen
Diese Fraktur betrifft den Operationshals. Da keine signifikante Verschiebung oder Angulation > 45° vorliegt, handelt es sich um eine einteilige Fraktur.
ZEPHYR/SCIENCE PHOTO LIBRARY