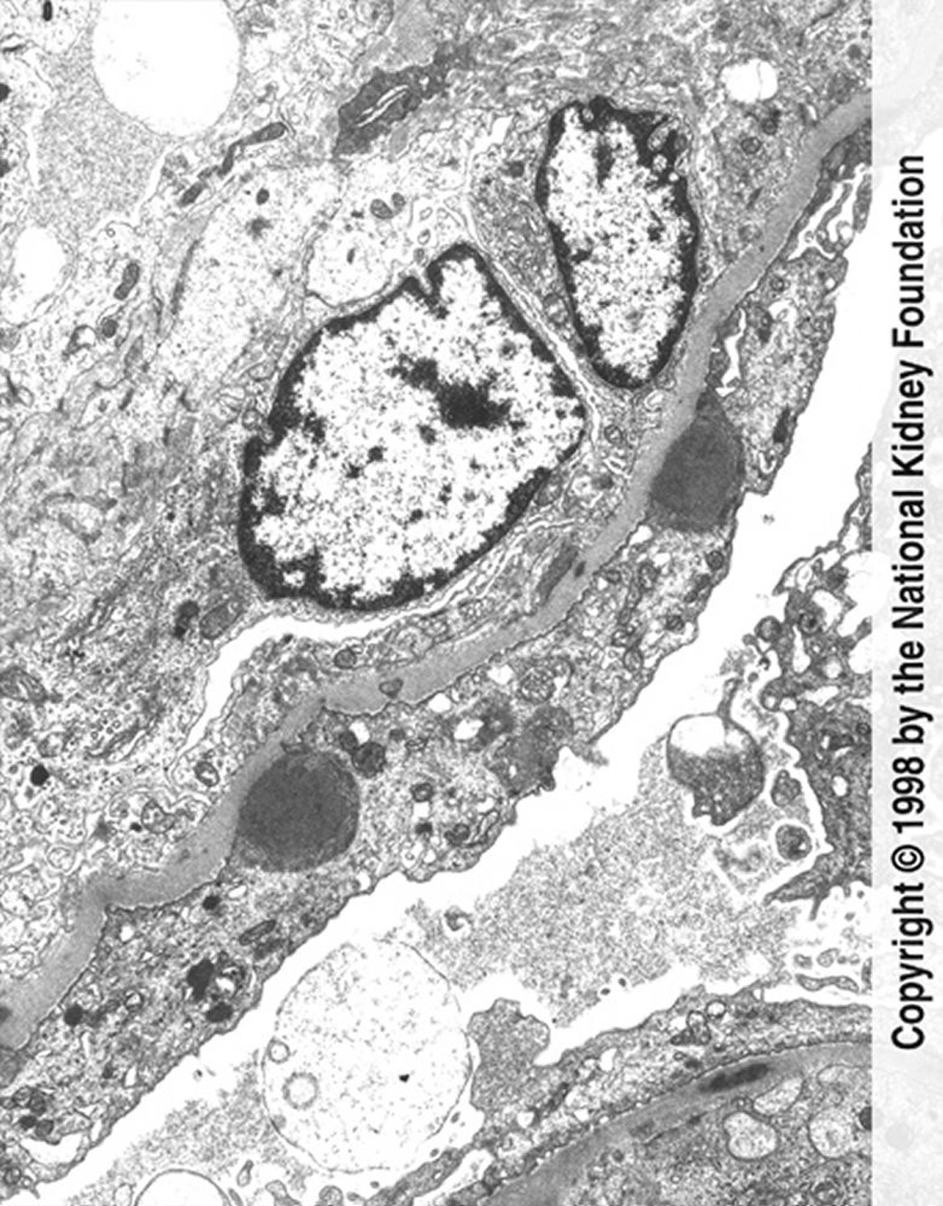
Postinfektiöse Glomerulonephritis (Immunkomplexablagerungen)
Auf der transmissionselektronenmikroskopischen Aufnahme sind buckelförmige Immunkomplexablagerungen (dunkelgrau) mit ausgedehnter Fußfortsatzauslöschung und endokapillärer Proliferation zu sehen (×11.250).
Image provided by Agnes Fogo, MD, and the American Journal of Kidney Diseases' Atlas of Renal Pathology (see www.ajkd.org).
In diesen Themen
