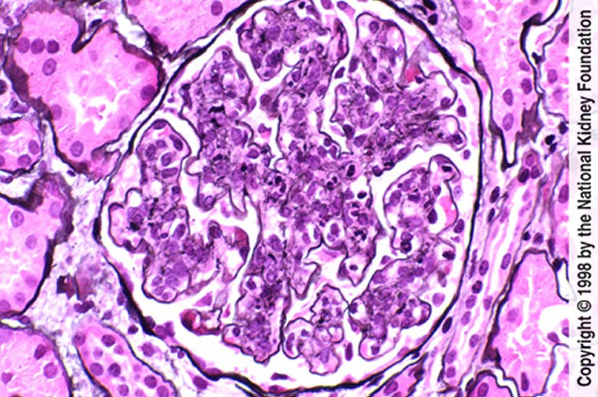
Postinfektiöse Glomerulonephritis (Hyperzellularität mit neutrophiler Infiltration)
Hyperzellularität von Endothel und Mesangium mit neutrophiler Infiltration (Jones-Silberfärbung, ×400).
Image provided by Agnes Fogo, MD, and the American Journal of Kidney Diseases' Atlas of Renal Pathology (see www.ajkd.org).
In diesen Themen
