Pneumokoniose
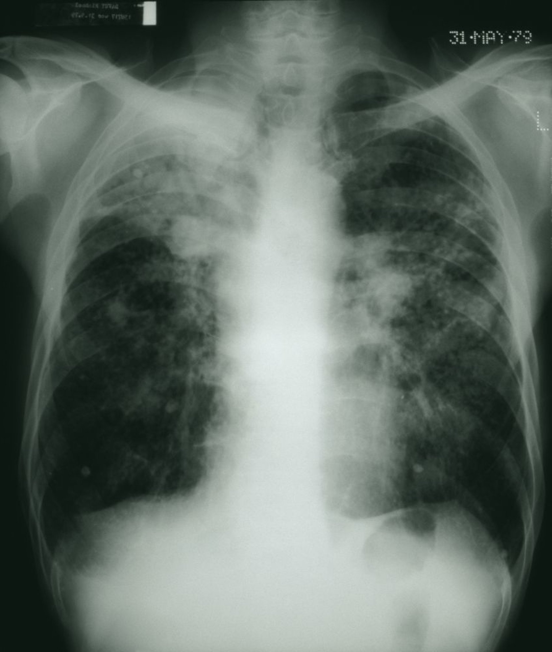
Die dunklen Lungenfelder zeigen ein gesprenkeltes Aussehen mit Flecken von weißen fibrösen Massen im Einklang mit fortgeschrittener Kohlearbeiter-Pneumokoniose.
STEVE ALLEN/SCIENCE PHOTO LIBRARY
In diesen Themen
Die dunklen Lungenfelder zeigen ein gesprenkeltes Aussehen mit Flecken von weißen fibrösen Massen im Einklang mit fortgeschrittener Kohlearbeiter-Pneumokoniose.
STEVE ALLEN/SCIENCE PHOTO LIBRARY