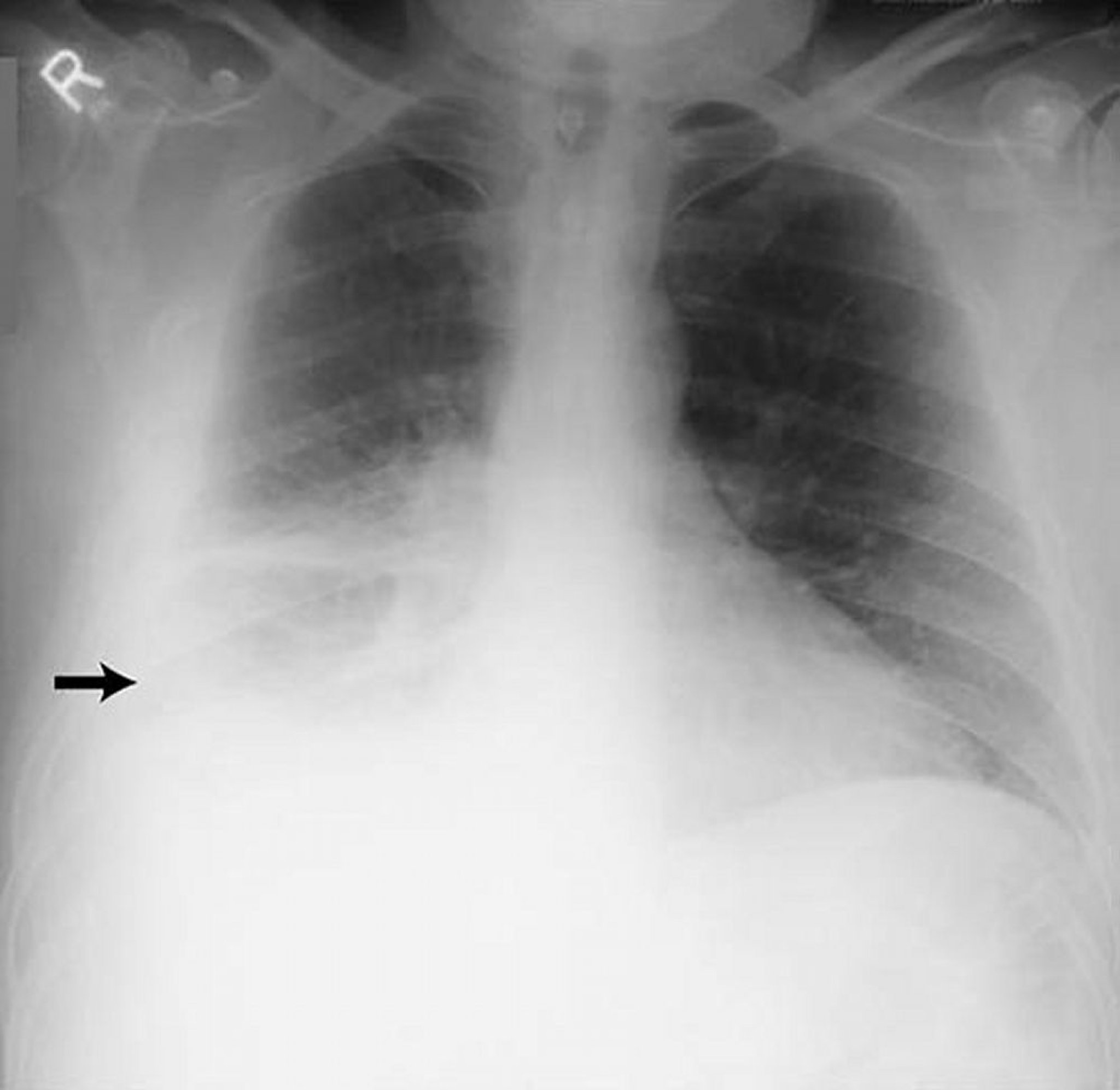
Pleuraerguss - groß
Großer rechtsseitiger Pleuraerguss (Pfeil) bei einem Patienten mit rheumatoider Pleuritis.
By permission of the publisher. From Huggins J, Sahn S. In Bone's Atlas of Pulmonary and Critical Care Medicine. Edited by J Crapo. Philadelphia, Current Medicine, 2005.
In diesen Themen
