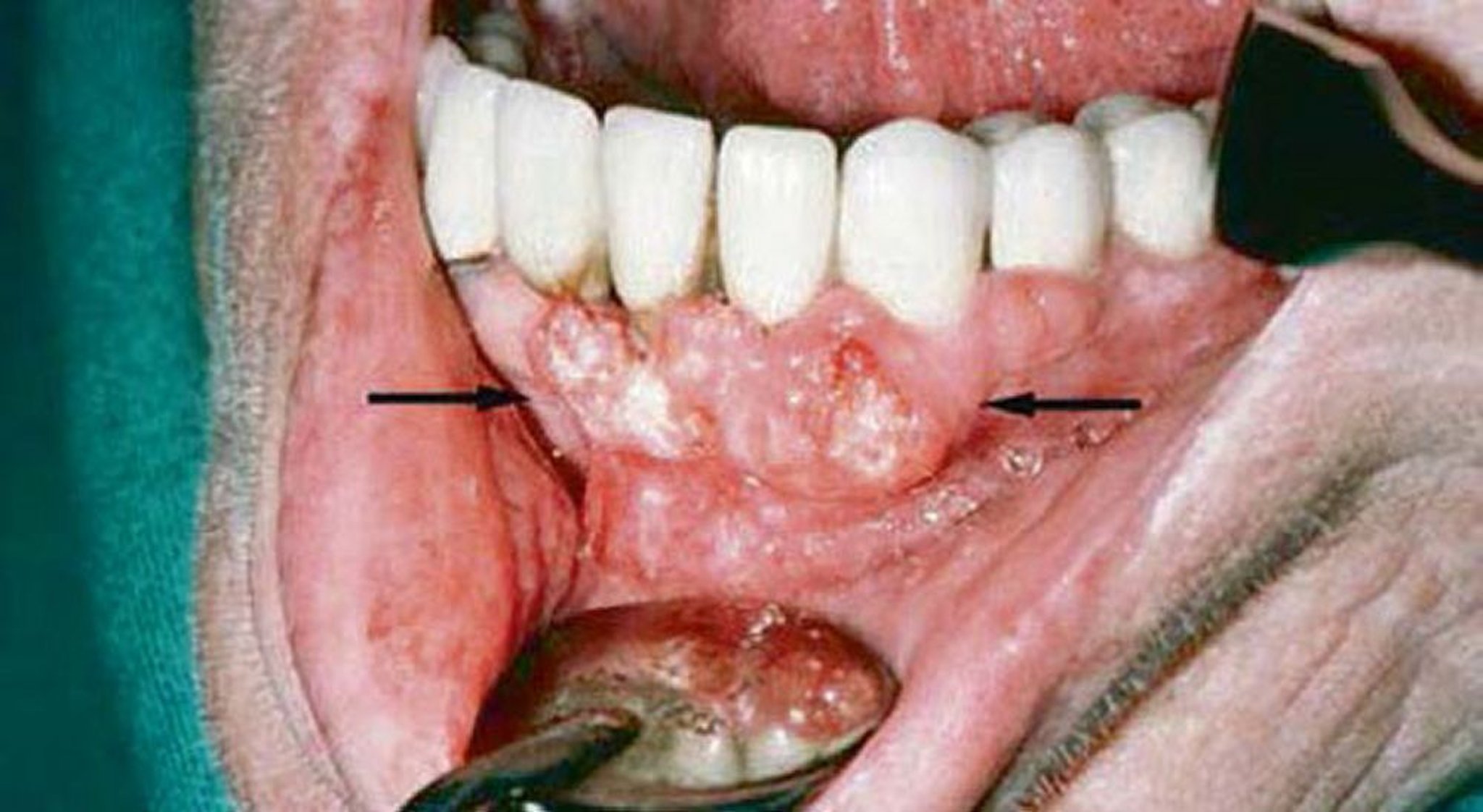
Plattenepithelkarzinom (Gingivaläsionen)
Die gingivale Untersuchung dieses Patienten zeigte Hinweise auf ein Plattenepithelkarzinom. Bildgebende Untersuchungen zeigten eine Invasion in den Unterkiefer.
© Springer Science+Business Media
In diesen Themen
