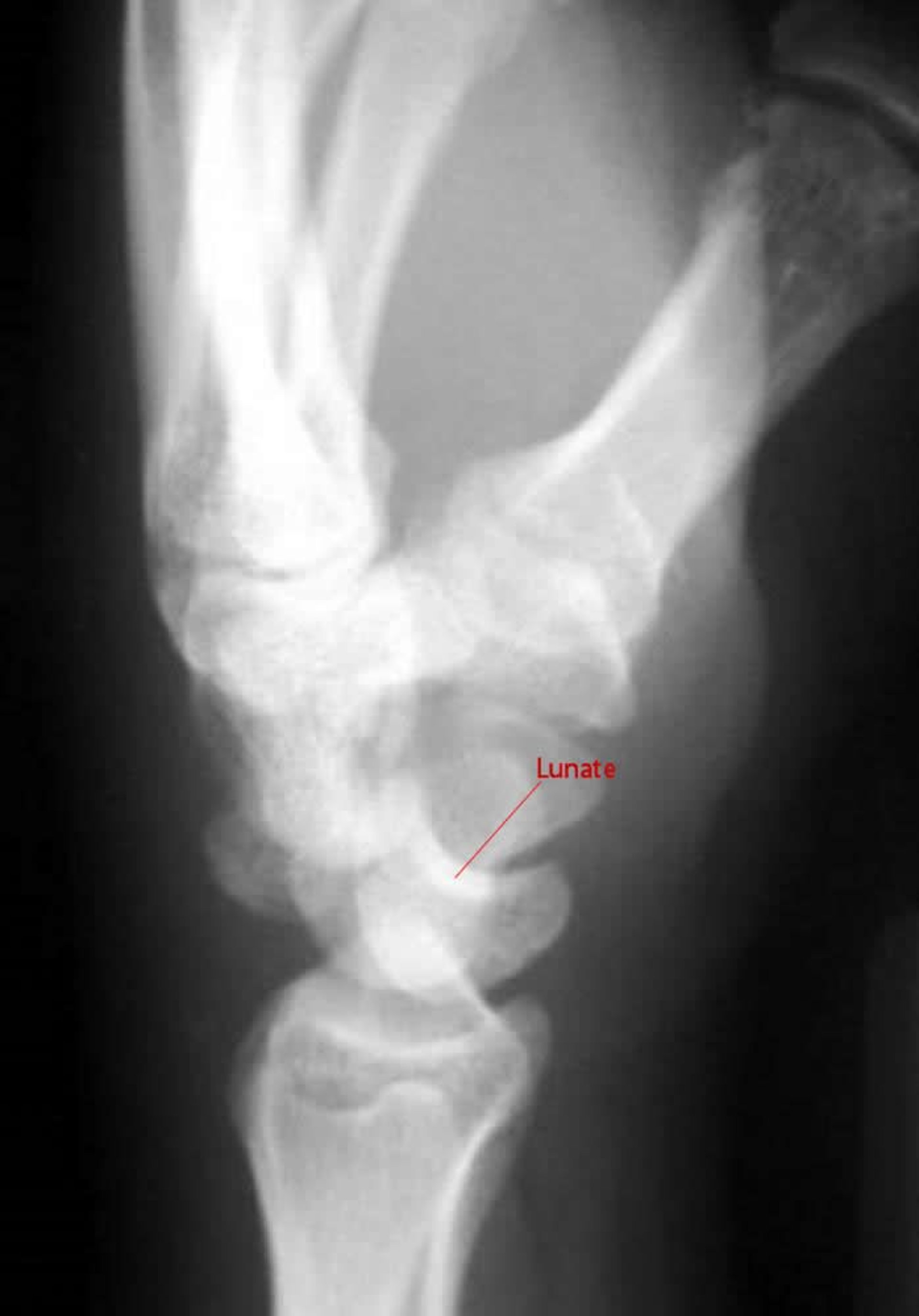
Perilunäre Luxation
In der Seitenansicht einer Perilunatum-Luxation bildet das Capitatum keinen Gelenkpunkt mit dem Lunatum.
Image courtesy of Danielle Campagne, MD.
In diesen Themen
In der Seitenansicht einer Perilunatum-Luxation bildet das Capitatum keinen Gelenkpunkt mit dem Lunatum.
Image courtesy of Danielle Campagne, MD.