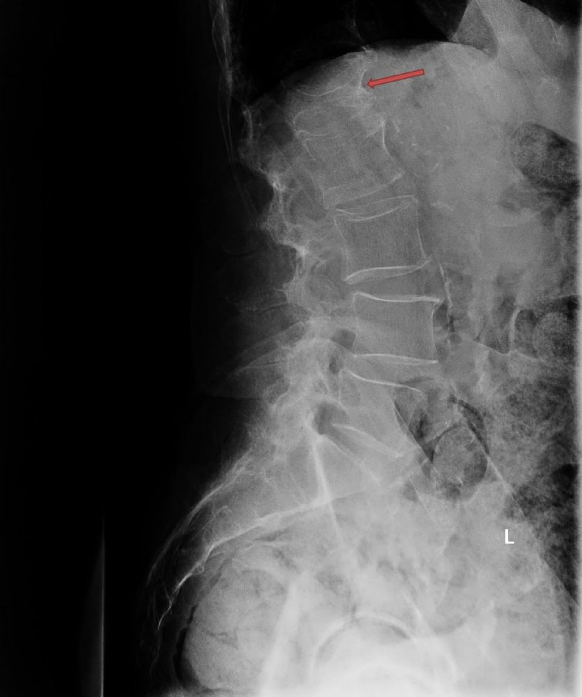
Osteoporotische Kompressionsfraktur
Diese Röntgenaufnahme zeigt eine schwere osteoporotische Kompressionsfraktur des ersten Lendenwirbels (L1; Pfeil).
Photo courtesy of Marcy B. Bolster, MD.
In diesen Themen
Diese Röntgenaufnahme zeigt eine schwere osteoporotische Kompressionsfraktur des ersten Lendenwirbels (L1; Pfeil).
Photo courtesy of Marcy B. Bolster, MD.