Osteomyelitis
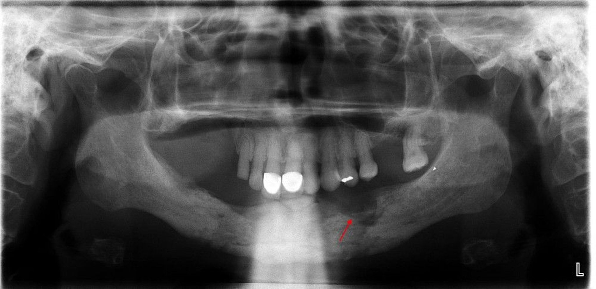
Diese Röntgenaufnahme zeigt eine Osteomyelitis mit einem deutlichen Sequestrum (nicht lebensfähiger Knochen) im linken Unterkieferquadranten (Pfeil).
Image courtesy of Byron (Pete) Benson, DDS, MS, Texas A&M University Baylor College of Dentistry.
In diesen Themen
