honeypot link
skip to main content
MSDMsd ManualAusgabe für medizinische Fachkreise
MEDIZINISCHE THEMENRESSOURCENKOMMENTARVERFAHREN U. UNTERSUCHUNGENQUIZFRAGENÜBER
homeMEDIZINISCHE THEMENRESSOURCEN
Search icon
  1. <Bilder
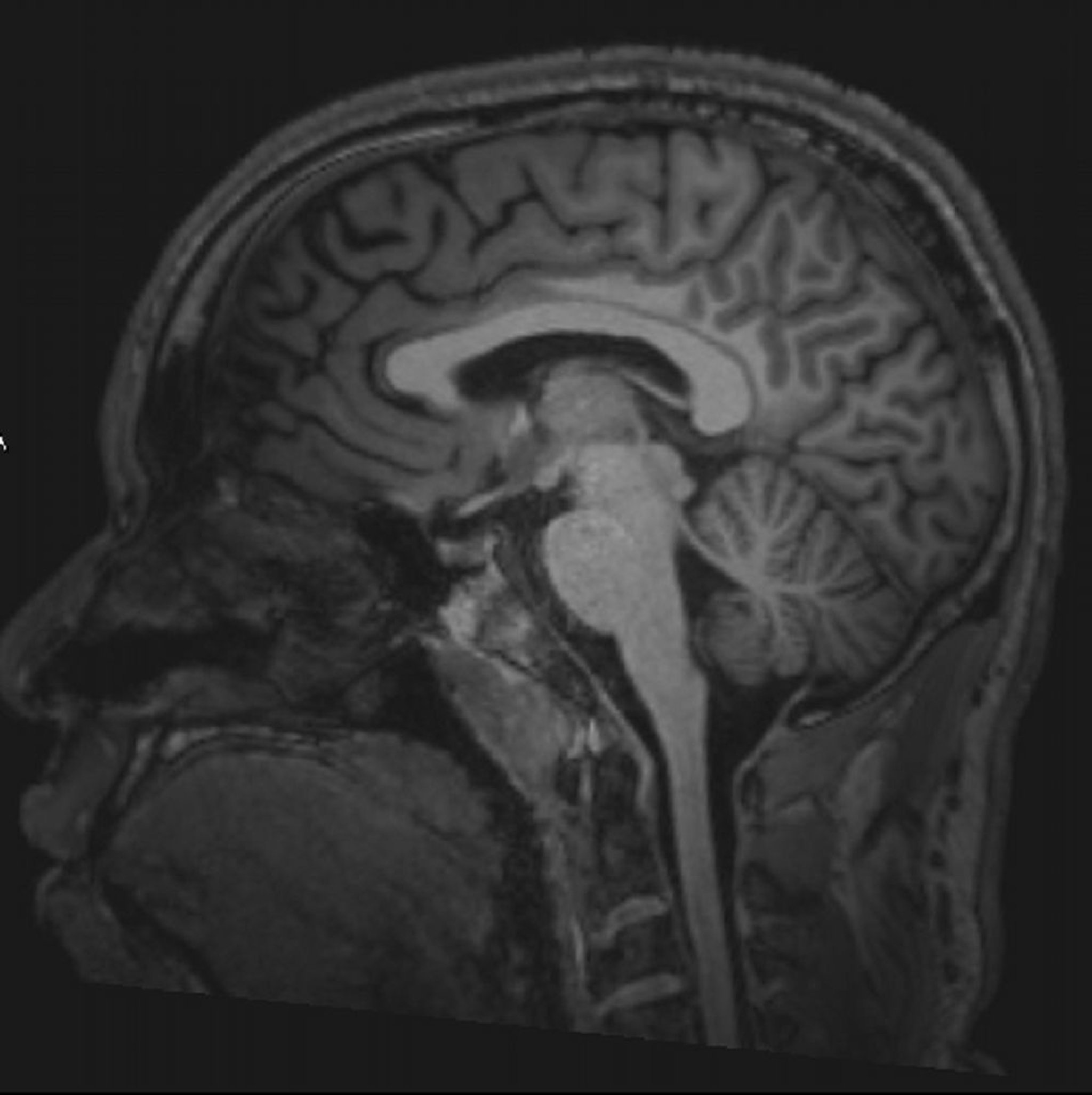
    Normales MRT des Gehirns (sagittal) – Folie 3

    Normales MRT des Gehirns (sagittal) – Folie 3

    © 2017 Elliot K. Fishman, MD.

    In diesen Themen
    • Magnetresonanztomographie (MRT) bei neurologischen Erkrankungen >
    MSD
    • Über
    • Haftungsausschluss
    • Benutzerrechte
    • Datenschutz
    • Cookie Preferences
    • Nutzungsbedingungen
    • Lizenzierung
    • Kontaktieren Sie uns
    • Veterinärhandbuch (nur Englisch)
    This icon serves as a link to download the eSSENTIAL Accessibility assistive technology app for individuals with physical disabilities. It is featured as part of our commitment to diversity and inclusion.
    This icon serves as a link to download the eSSENTIAL Accessibility assistive technology app for individuals with physical disabilities. It is featured as part of our commitment to diversity and inclusion.
    MSD

    Copyright© 2026Merck & Co., Inc., Rahway, NJ, USA and its affiliates. All rights reserved.