Normaler Kopf-CT-Scan (Erwachsener 74) - Folie 7
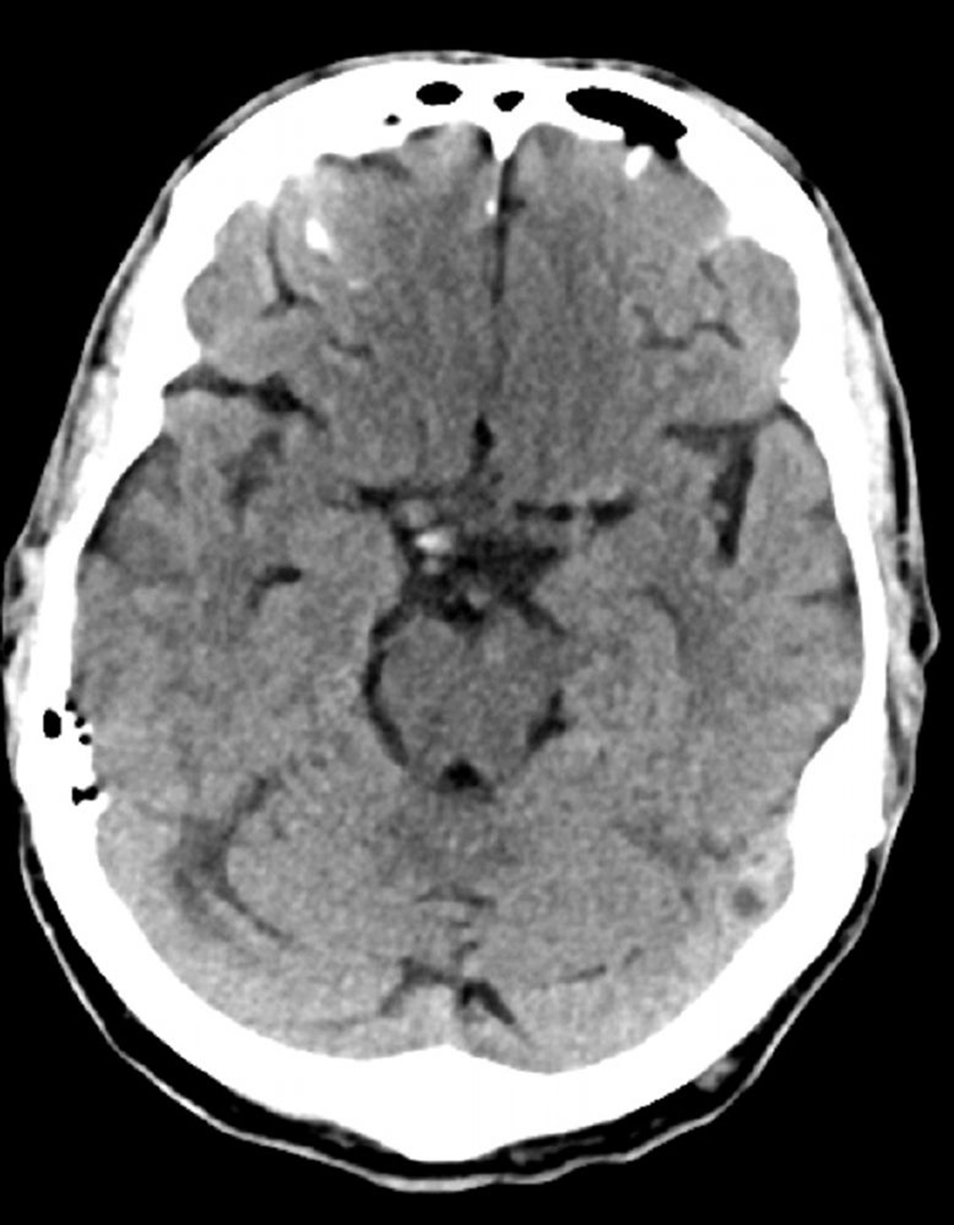
Dieses Bild ist ein normaler CT-Scan des Kopfes eines Erwachsenen im Alter von 74 Jahren. Verglichen mit dem normalen CT-Scan eines 30-jährigen Kopfes sind die Ventrikel und die Sulci größer. Diese Ergebnisse sind in dieser Altersgruppe normal.
© 2017 Elliot K. Fishman, MD.
In diesen Themen
