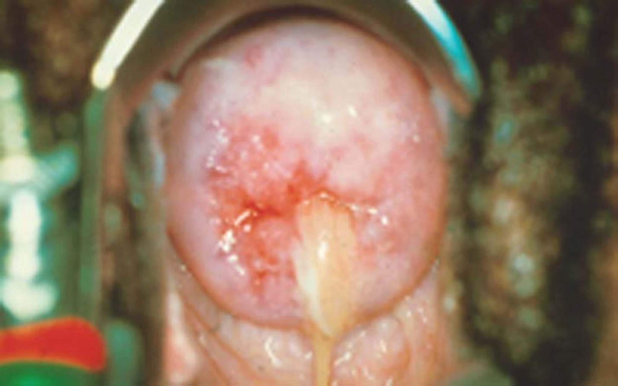
Mukopurulente Zervizitis
Der Muttermund ist rot und entzündet und sondert einen dicken, gelben Ausfluss ab.
By permission of the publisher. Aus Goldfarb A. In Atlas of Clinical Gynecology: Pediatric and Adolescent Gynecology. Edited by M Stenchever (series editor) and AF Goldfarb. Philadelphia, Current Medicine, 1998.
In diesen Themen
