MRT des Knies
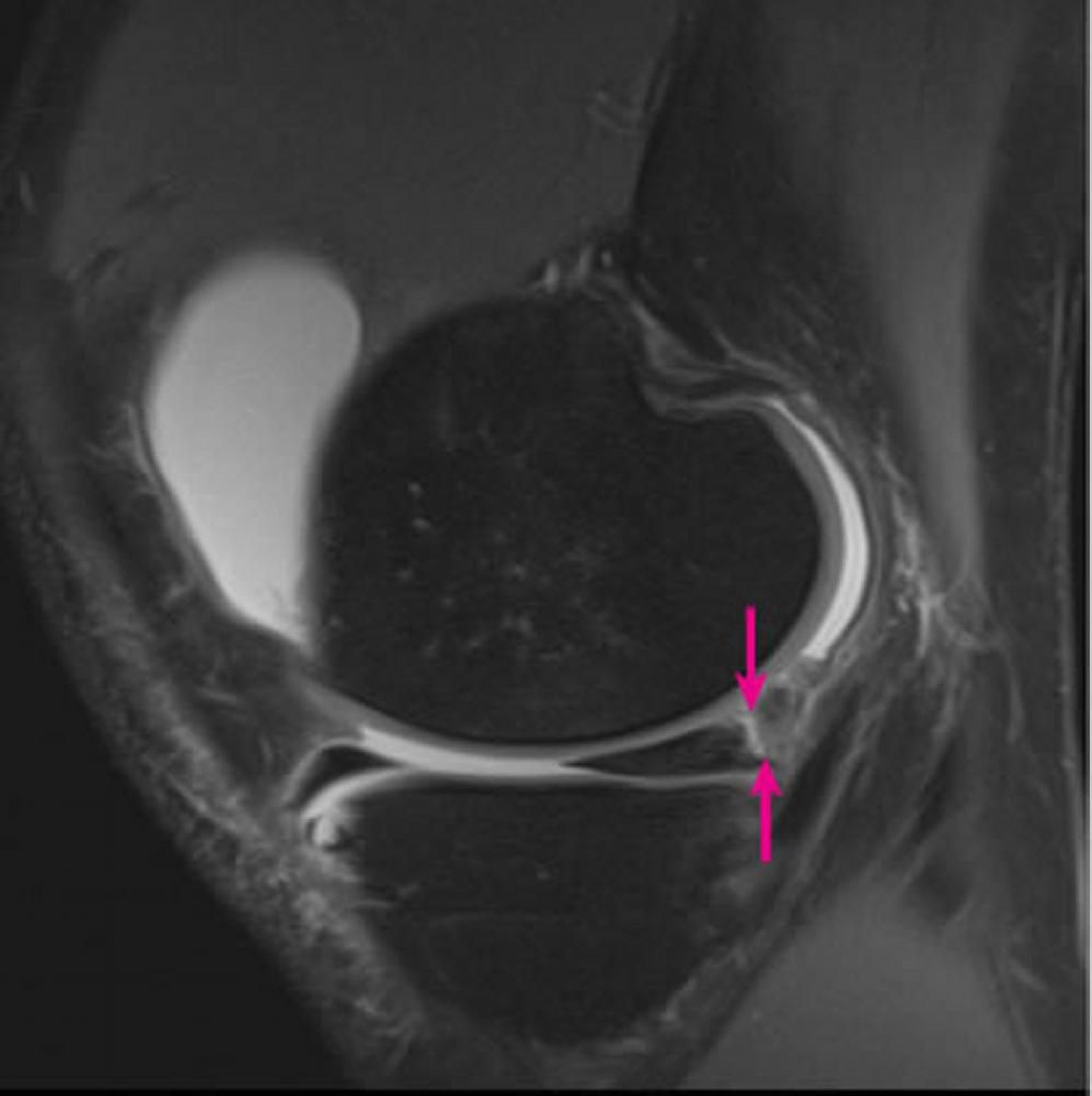
Das sagittale Protonendichte-gewichtete 3-Tesla-Magnetresonanztomographie des rechten Knies zeigt eine Meniskuskapselablösung mit Beteiligung des medialen Meniskus-Hinterhorns (Pfeile).
Image courtesy of Hakan Ilaslan, MD.
In diesen Themen
