Meningeom, parasagittal
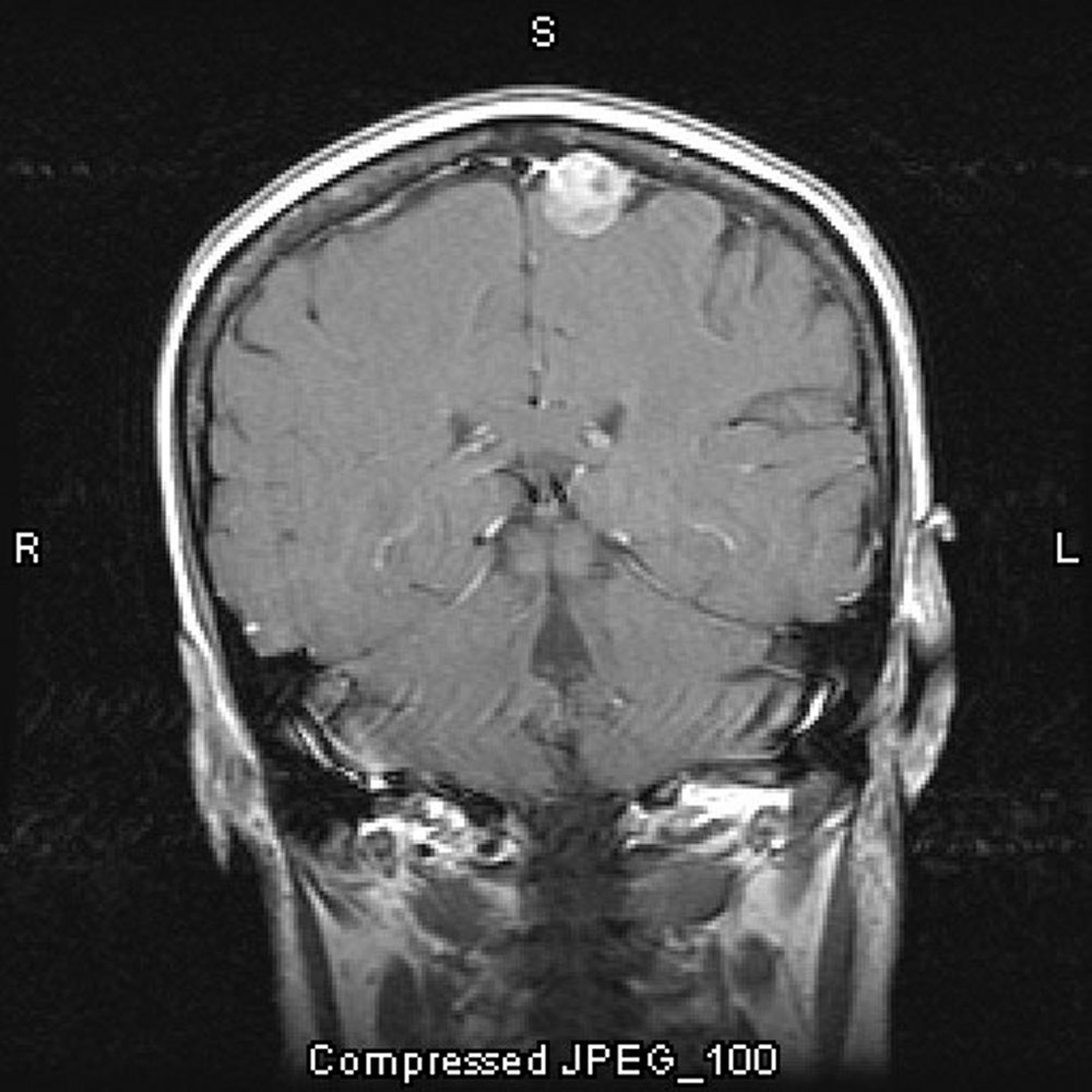
Diese kontrastverstärkte MRT-Aufnahme zeigt ein Meningeom. Die parasagittale Lokalisation ist typisch für Meningeome.
Image courtesy of William R. Shapiro, MD.
In diesen Themen
Diese kontrastverstärkte MRT-Aufnahme zeigt ein Meningeom. Die parasagittale Lokalisation ist typisch für Meningeome.
Image courtesy of William R. Shapiro, MD.