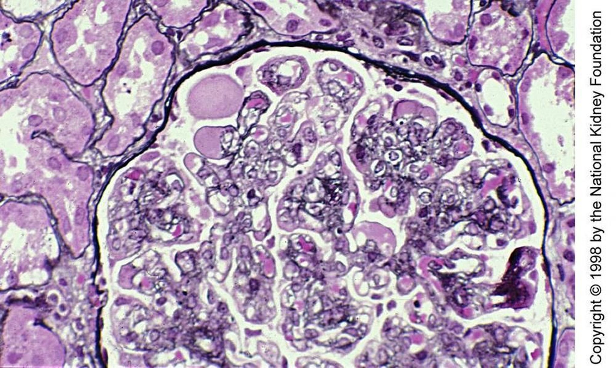
Membranoproliferative Glomerulonephritis, immunglobulin-/immunkomplexvermittelt
Bei der Immunglobulin-/Immunkomplex-vermittelten membranoproliferativen Glomerulonephritis aktiviert die chronische Ablagerung von Immunkomplexen (vorwiegend C3 und IgG oder IgM) das Komplement über den klassischen Weg in den glomerulären Kapillarwänden und im Mesangium. Die Folge ist eine mesangiale Proliferation, eine Verdickung der glomerulären Basalmembran (GBM), die Einlagerung von Zytoplasma der Mesangialzellen zwischen GBM und Endothelzellen sowie eine Glomerulosklerose, die zu Nierenversagen führt. Die GBM-Verdickung manifestiert sich hier durch doppelte Konturen (Jones-Silberfärbung, ×400).
Image provided by Agnes Fogo, MD, and the American Journal of Kidney Diseases' Atlas of Renal Pathology (see www.ajkd.org).
In diesen Themen
