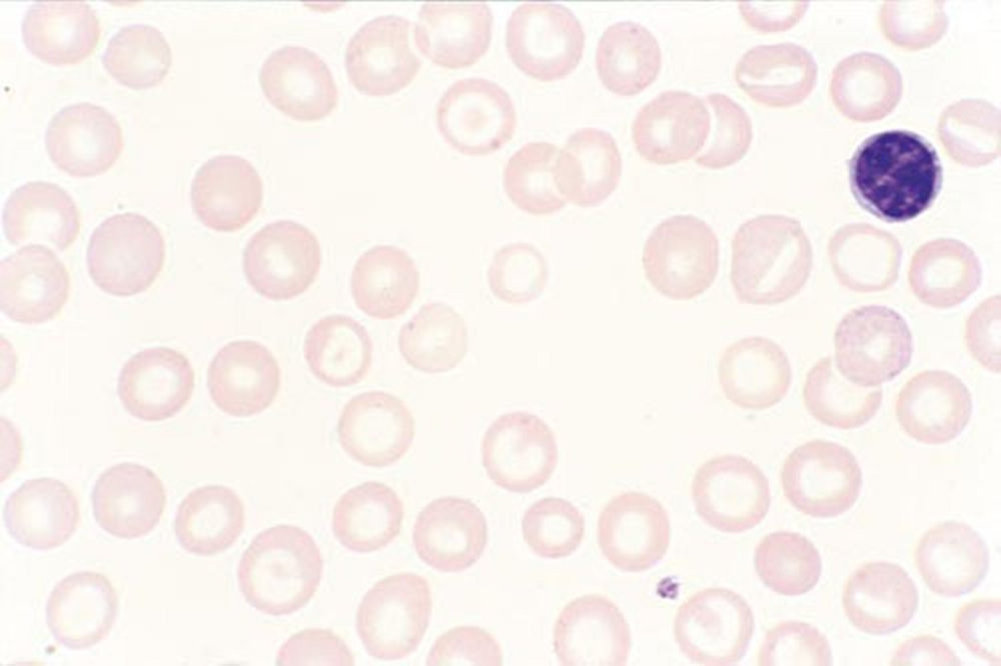
Makrozytose bei Lebererkrankungen
Dieses Bild zeigt eine nicht-ernährungsbedingte makrozytäre Anämie, die nicht arzneimittelinduziert ist. Die runde Morphologie der Erythrozyten, im Gegensatz zur ovalen Makrozytose, deutet auf eine Lebererkrankung mit überschüssiger Erythrozytenmembranfläche hin; auch Zielzellen sind erkennbar.
By permission of the publisher. From Tefferi A, Li C. In Atlas of Clinical Hematology. Edited by JO Armitage. Philadelphia, Current Medicine, 2004.
In diesen Themen
