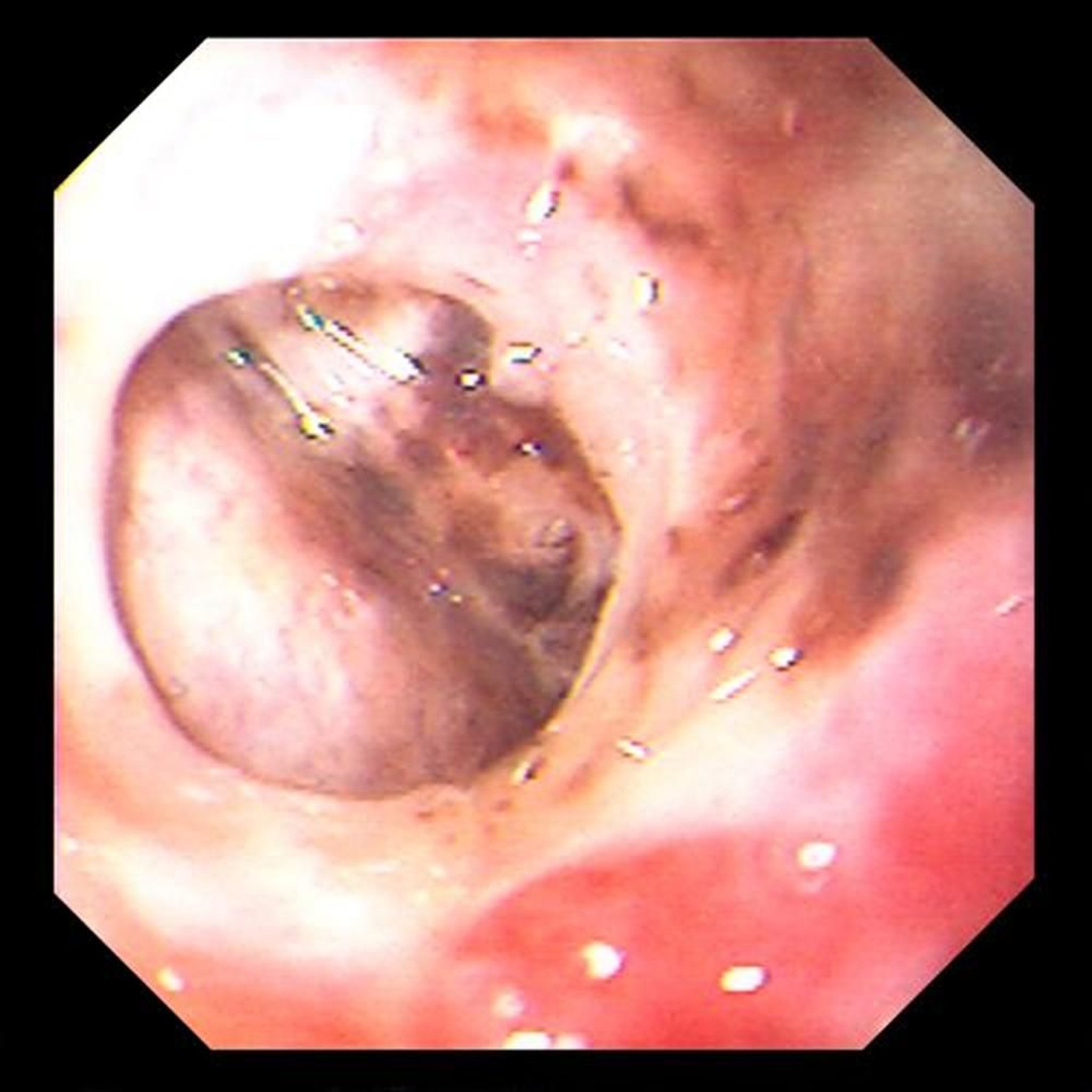
Magengeschwürperforation
Diese Abbildung zeigt eine chronische, begrenzte Perforation des Magenulkus, durch die die Leber sichtbar ist.
Image provided by David M. Martin, MD.
In diesen Themen
Diese Abbildung zeigt eine chronische, begrenzte Perforation des Magenulkus, durch die die Leber sichtbar ist.
Image provided by David M. Martin, MD.