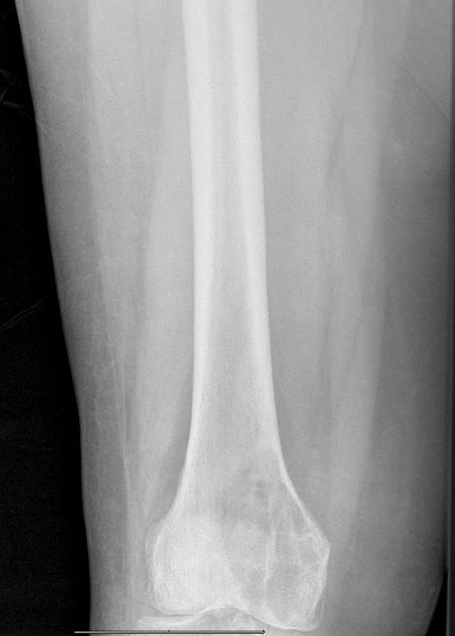
Lytische Metastasen im distalen Femur
Dieses Röntgenbild zeigt eine große metastatische lytische Läsion des medialen Femurkondylus mit drohender pathologischer Fraktur.
Image courtesy of Michael J. Joyce, MD, and David M. Joyce, MD.
In diesen Themen
Dieses Röntgenbild zeigt eine große metastatische lytische Läsion des medialen Femurkondylus mit drohender pathologischer Fraktur.
Image courtesy of Michael J. Joyce, MD, and David M. Joyce, MD.