Lymphozytische Interstitielle Pneumonie
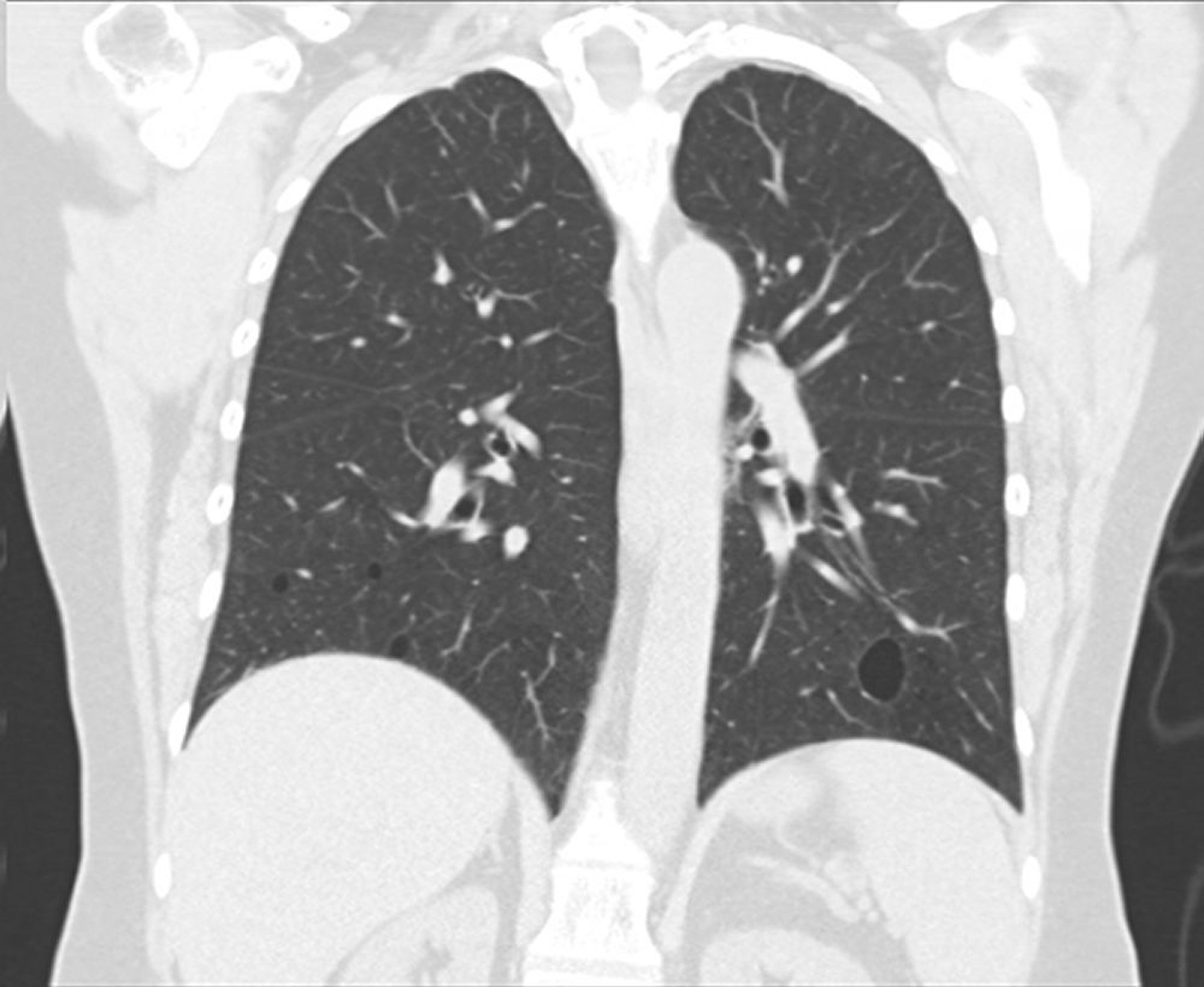
Dieses Bild zeigt eine lymphozytische interstitielle Pneumonie als Folge des Sjögren-Syndroms. Auf diesem koronalen CT-Schnitt sind gut umschriebene Zysten in den beidseitigen Unterlappen zu sehen.
This image courtesy of Tami Bang, MD.
In diesen Themen
