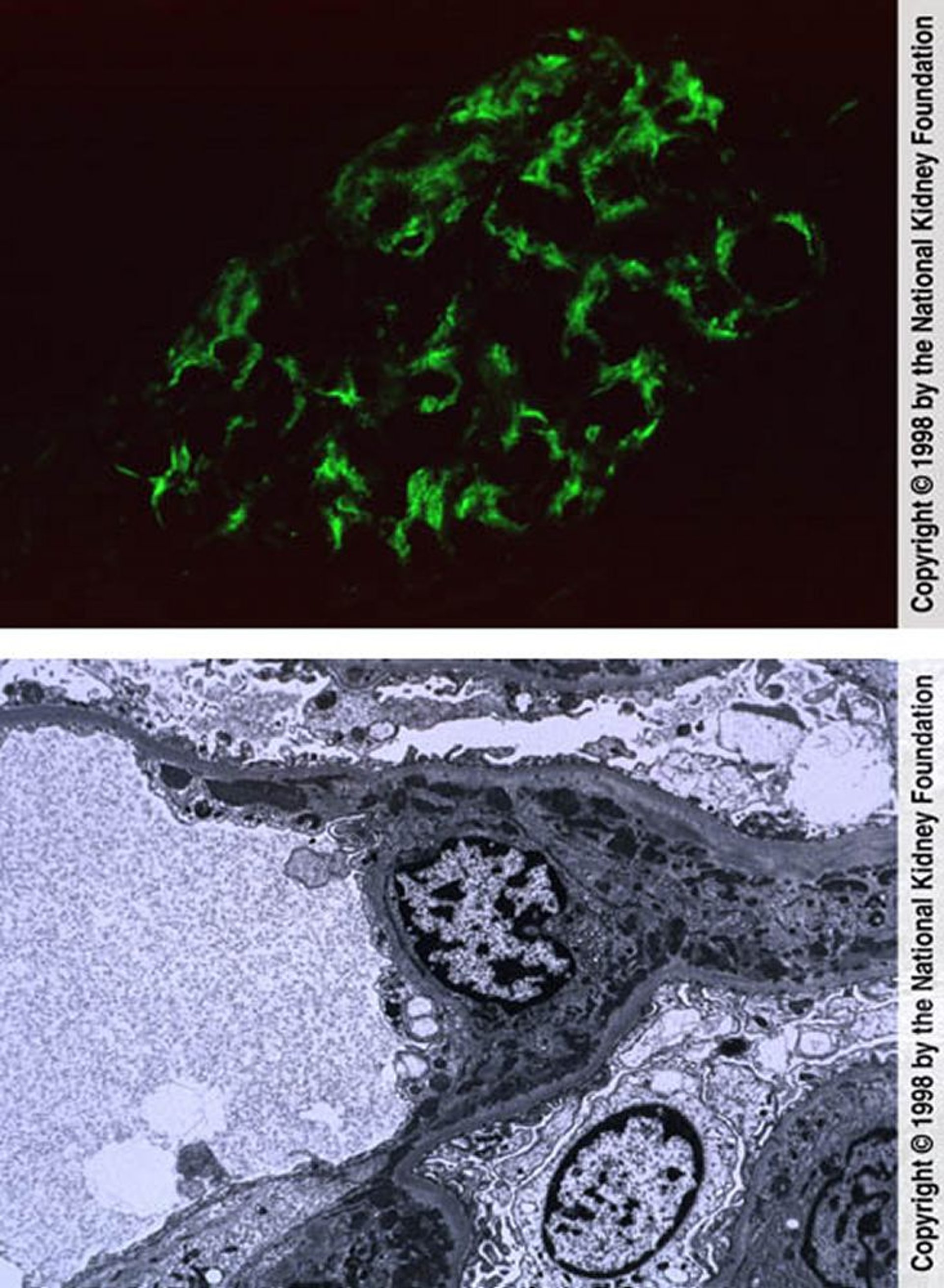
Lupus-Nephritis - mesangial proliferative (Klasse II)
Das obere Bild zeigt mesangiale Ablagerungen von IgM (Immunfluoreszenz mit Anti-IgM, ursprüngliche Vergrößerung ×400). Im unteren Bild sind in der Transmissionselektronenmikroskopie dichte Immunkomplexablagerungen und retikuläre Aggregate im Zytoplasma der Endothelzellen zu erkennen (×8000).
Image provided by Agnes Fogo, MD, and the American Journal of Kidney Diseases' Atlas of Renal Pathology (see www.ajkd.org).
In diesen Themen
