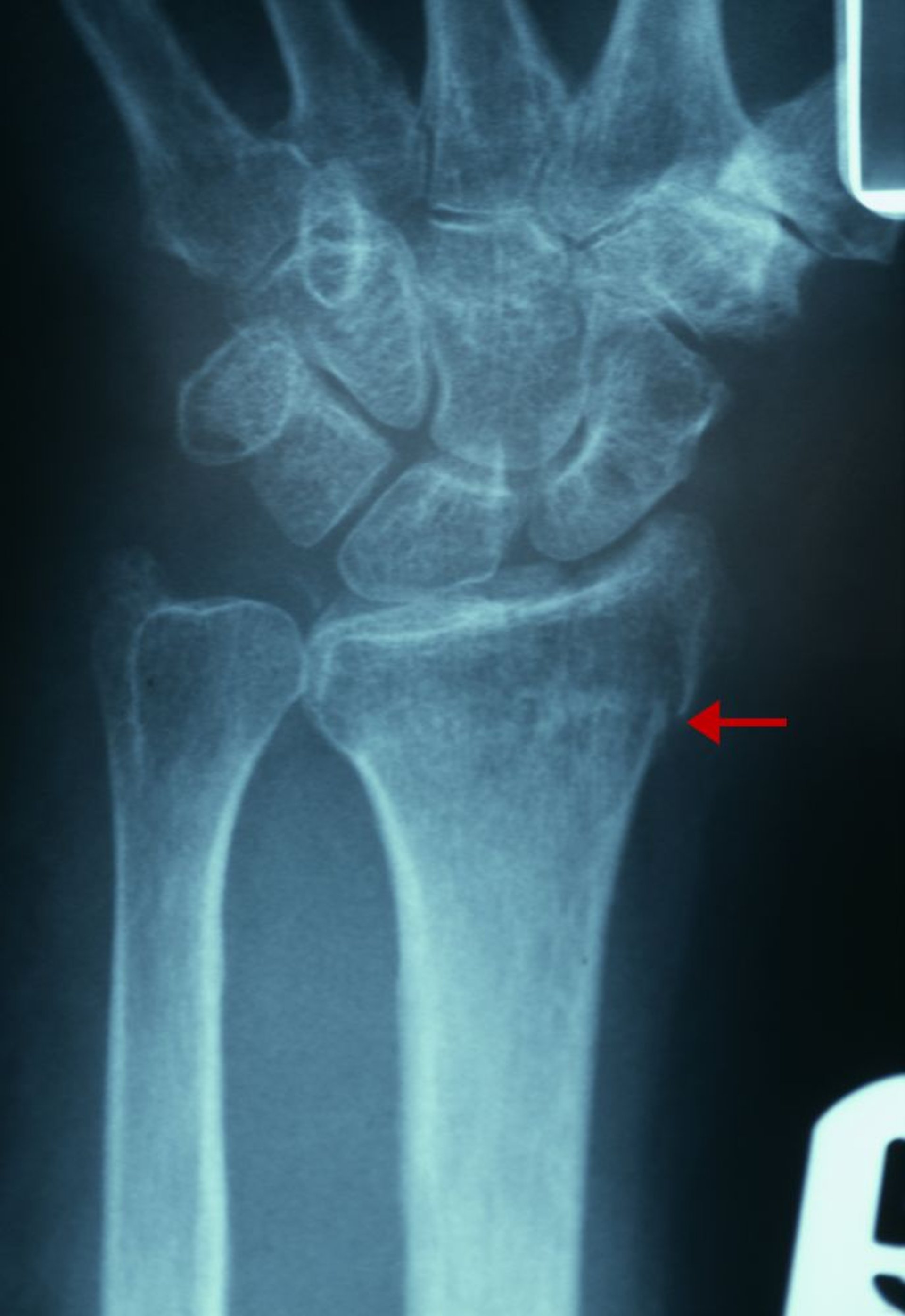
Leichte distale Radiusfraktur
Der Röntgenbefund dieser Fraktur umfasst einen Bruch der Kontinuität der Kortikalis des radialen Aspekts des distalen Radius (Pfeil) und eine Zunahme der Trabekeldichte des distalen Radius.
DR P. MARAZZI/SCIENCE PHOTO LIBRARY
In diesen Themen
