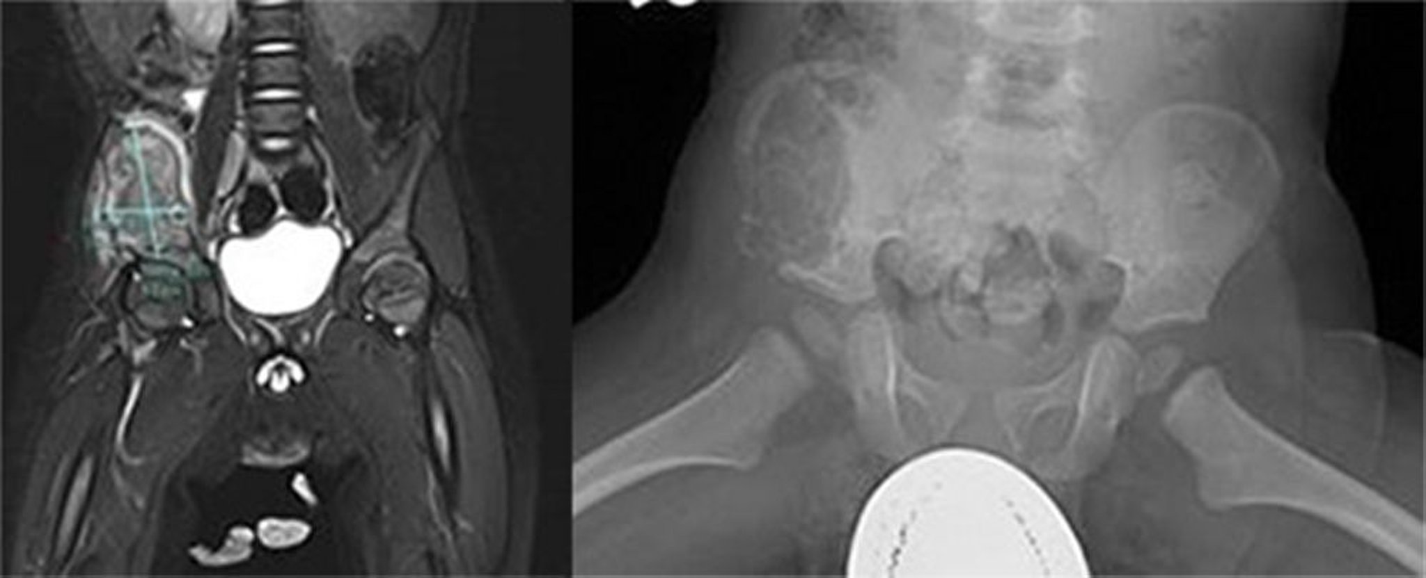
Langerhans-Zell-Histiozytose (Beckenknochen)
Dieses Bild zeigt eine große aggressive Läsion im rechten Darmbeinflügel. Eine MRT-Untersuchung ergab eine heterogene T2-Masse und ein schwaches T1-Signal mit heterogener Anreicherung der Masse und der umgebenden Muskulatur mit einer Abweichung des rechten Psoas-Muskels nach medial, was auf eine aggressive Knochenläsion hindeutet (links). Auf dem Röntgenbild war eine große lytische Läsion im vorderen und lateralen Bereich des Ileums zu erkennen, die sich nach vorne und nach unter bis zum Sitzbein erstreckte (rechts). Es gibt einen erweiterten Kortex und kortikale Unregelmäßigkeiten. Die Biopsie war diagnostisch für Langerhans-Zell-Histiozytose.
Images courtesy of Carolyn Fein Levy, MD, and Jeffrey M. Lipton, MD, PhD.
In diesen Themen
