Kryptokokkose (Zentralnervensystem)
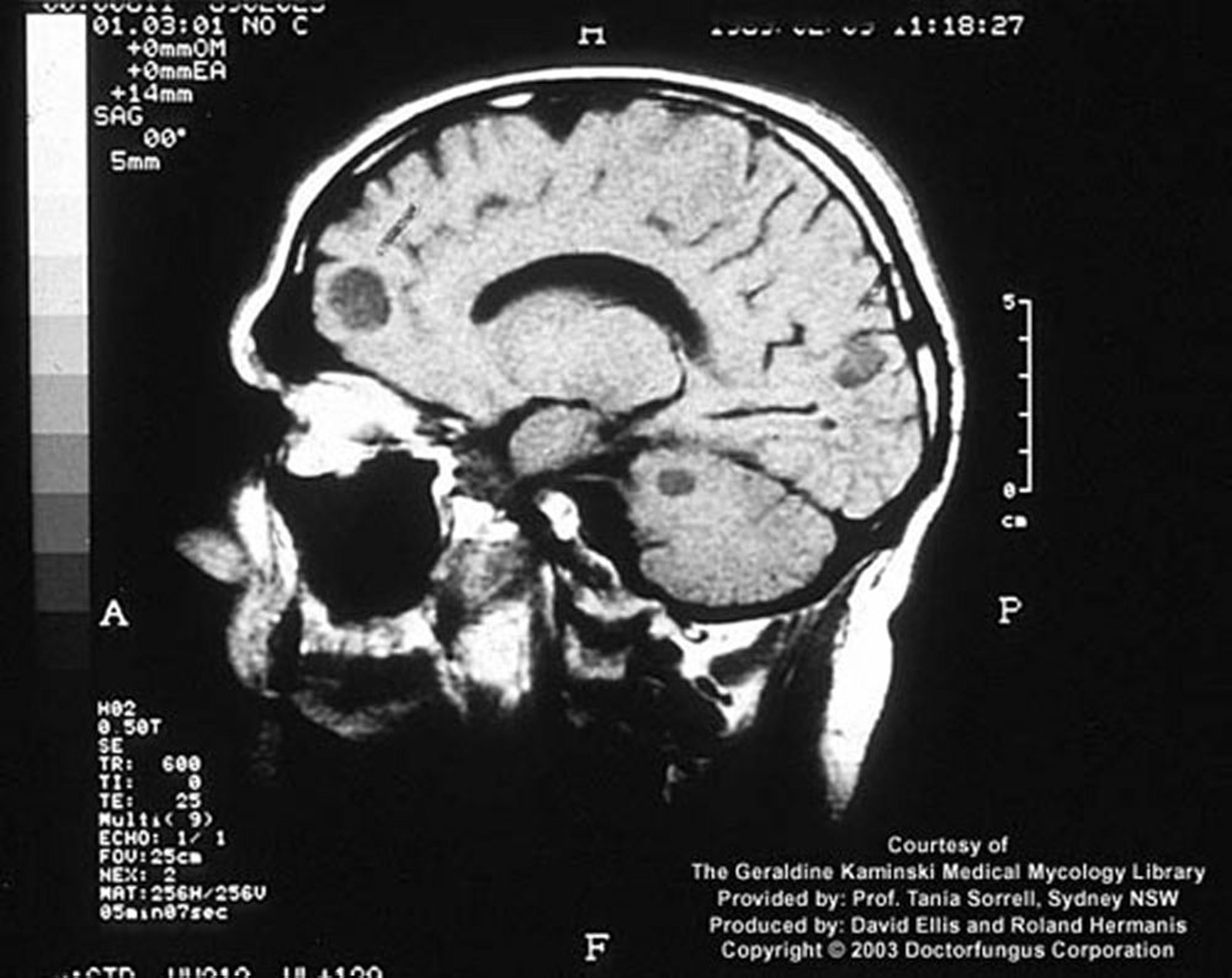
Bei einem immunsupprimierten Wirt kann sich eine Kryptokokkeninfektion als fokale Hirnläsionen, sog. Kryptokokken, manifestieren.
Image courtesy of www.doctorfungus.org © 2005.
In diesen Themen
Bei einem immunsupprimierten Wirt kann sich eine Kryptokokkeninfektion als fokale Hirnläsionen, sog. Kryptokokken, manifestieren.
Image courtesy of www.doctorfungus.org © 2005.