Kontrast CT zeigt normale Koronararterien - Folie 5
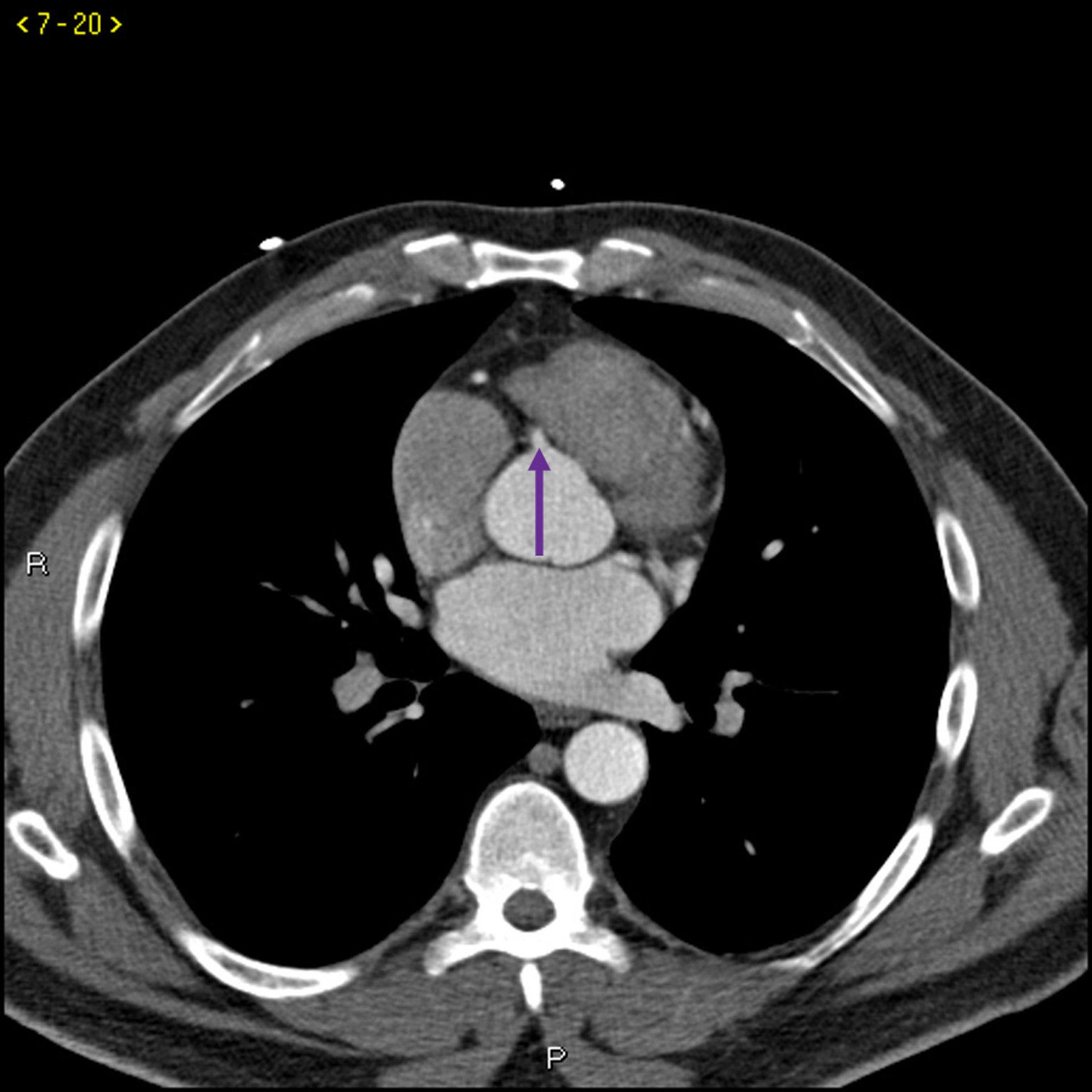
Dieses Kontrast-CT zeigt normale Koronararterien. Die linke Hauptleitung ist durch den roten Pfeil gekennzeichnet. Die linke anteriore absteigende Arterie und die linke Zirkumflexarterie sind durch den grünen bzw. blauen Pfeil und die rechte Koronararterie durch den lila Pfeil gekennzeichnet.
© 2017 Elliot K. Fishman, MD.
In diesen Themen
